
Cyclin A2 antibody immunoprecipitates cyclin A2 protein in IP experiments. IP Sample: 1000 μg 293T whole cell lysate/extract A. 30 μg 293T whole cell lysate/extract B. Control with 2.5 μg of preimmune rabbit IgG C. Immunoprecipitation of Cyclin A2 protein by 2.5 μg of Cyclin A2 antibody (GTX103042) 10% SDS-PAGE The immunoprecipitated Cyclin A2 protein was detected by Cyclin A2 antibody (GTX103042) diluted at 1:1000. EasyBlot anti-rabbit IgG (GTX221666-01) was used as a secondary reagent.
Cyclin A2 antibody
GTX103042
ApplicationsImmunoFluorescence, ImmunoPrecipitation, Western Blot, ImmunoCytoChemistry, ImmunoHistoChemistry, ImmunoHistoChemistry Paraffin
Product group Antibodies
ReactivityHuman, Monkey, Mouse, Rat
TargetCCNA2
Overview
- SupplierGeneTex
- Product NameCyclin A2 antibody
- Delivery Days Customer9
- Application Supplier NoteWB: 1:500-1:3000. ICC/IF: 1:100-1:1000. IHC-P: 1:100-1:1000. IP: 1:100-1:500. *Optimal dilutions/concentrations should be determined by the researcher.Not tested in other applications.
- ApplicationsImmunoFluorescence, ImmunoPrecipitation, Western Blot, ImmunoCytoChemistry, ImmunoHistoChemistry, ImmunoHistoChemistry Paraffin
- CertificationResearch Use Only
- ClonalityPolyclonal
- Concentration0.73 mg/ml
- ConjugateUnconjugated
- Gene ID890
- Target nameCCNA2
- Target descriptioncyclin A2
- Target synonymsCCN1, CCNA, cyclin-A2, cyclin-A
- HostRabbit
- IsotypeIgG
- Protein IDP20248
- Protein NameCyclin-A2
- Scientific DescriptionThe protein encoded by this gene belongs to the highly conserved cyclin family, whose members are characterized by a dramatic periodicity in protein abundance through the cell cycle. Cyclins function as regulators of CDK kinases. Different cyclins exhibit distinct expression and degradation patterns which contribute to the temporal coordination of each mitotic event. In contrast to cyclin A1, which is present only in germ cells, this cyclin is expressed in all tissues tested. This cyclin binds and activates CDC2 or CDK2 kinases, and thus promotes both cell cycle G1/S and G2/M transitions. [provided by RefSeq]
- ReactivityHuman, Monkey, Mouse, Rat
- Storage Instruction-20°C or -80°C,2°C to 8°C
- UNSPSC41116161













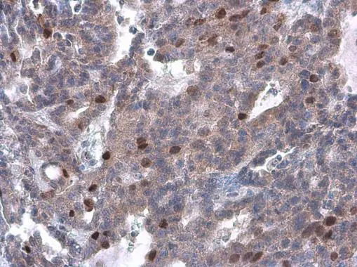
![Cyclin A2 antibody [GT2547] detects Cyclin A2 protein at nucleus by immunohistochemical analysis. Sample: Paraffin-embedded human endometrial carcinoma. Cyclin A2 stained by Cyclin A2 antibody [GT2547] (GTX634420) diluted at 1:200.
Antigen Retrieval: Citrate buffer, pH 6.0, 15 min](https://www.genetex.com/upload/website/prouct_img/normal/GTX634420/GTX634420_43024_20180525_IHC-P_H_2_w_23061202_573.webp)

