
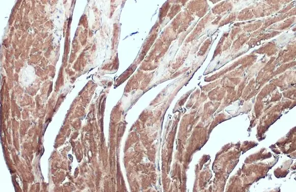
Desmin antibody detects Desmin protein at cell membrane and cytoplasm by immunohistochemical analysis. Sample: Paraffin-embedded dog muscle. Desmin stained by Desmin antibody (GTX103557) diluted at 1:500. Antigen Retrieval: Citrate buffer, pH 6.0, 15 min
Desmin antibody
GTX103557
ApplicationsFlow Cytometry, ImmunoFluorescence, Western Blot, ImmunoCytoChemistry, ImmunoHistoChemistry, ImmunoHistoChemistry Frozen, ImmunoHistoChemistry Paraffin
Product group Antibodies
ReactivityCanine, Chicken, Feline, Human, Mouse, Porcine, Rat
TargetDES
Overview
- SupplierGeneTex
- Product NameDesmin antibody
- Delivery Days Customer9
- Application Supplier NoteWB: 1:500-1:10000. IHC-P: 1:100-1:1000. *Optimal dilutions/concentrations should be determined by the researcher.Not tested in other applications.
- ApplicationsFlow Cytometry, ImmunoFluorescence, Western Blot, ImmunoCytoChemistry, ImmunoHistoChemistry, ImmunoHistoChemistry Frozen, ImmunoHistoChemistry Paraffin
- CertificationResearch Use Only
- ClonalityPolyclonal
- Concentration1.42 mg/ml
- ConjugateUnconjugated
- Gene ID1674
- Target nameDES
- Target descriptiondesmin
- Target synonymsCDCD3, CSM1, CSM2, LGMD1D, LGMD1E, LGMD2R, desmin, cardiomyopathy, dilated 1F (autosomal dominant), cardiomyopathy, dilated 1I, epididymis secretory sperm binding protein, intermediate filament protein
- HostRabbit
- IsotypeIgG
- Protein IDP17661
- Protein NameDesmin
- Scientific DescriptionThis gene encodes a muscle-specific class III intermediate filament. Homopolymers of this protein form a stable intracytoplasmic filamentous network connecting myofibrils to each other and to the plasma membrane. Mutations in this gene are associated with desmin-related myopathy, a familial cardiac and skeletal myopathy (CSM), and with distal myopathies. [provided by RefSeq]
- ReactivityCanine, Chicken, Feline, Human, Mouse, Porcine, Rat
- Storage Instruction-20°C or -80°C,2°C to 8°C
- UNSPSC41116161
















