
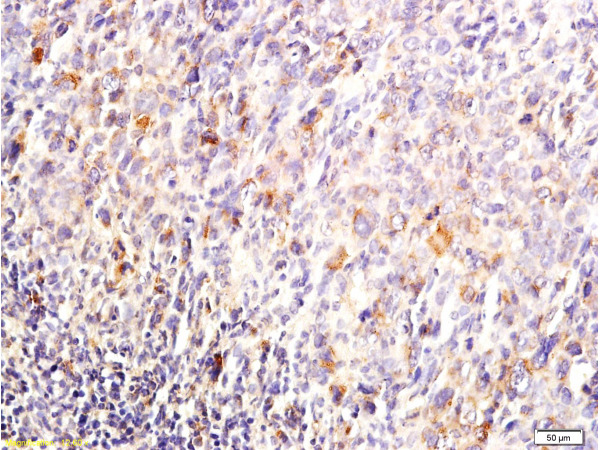
Paraformaldehyde-fixed, paraffin embedded Mouse colon; Antigen retrieval by boiling in sodium citrate buffer (pH6.0) for 15min; Block endogenous peroxidase by 3% hydrogen peroxide for 20 minutes; Blocking buffer (normal goat serum) at 37°C for 30min; Antibody incubation with DUSP1/MKP1 Polyclonal Antibody, Unconjugated (bs-1851R) at 1:400 overnight at 4°C, DAB staining.
MKP1 Polyclonal Antibody
BS-1851R
ApplicationsImmunoFluorescence, Western Blot, ELISA, ImmunoCytoChemistry, ImmunoHistoChemistry, ImmunoHistoChemistry Frozen, ImmunoHistoChemistry Paraffin
Product group Antibodies
ReactivityBovine, Canine, Equine, Human, Mouse, Rabbit, Rat, Sheep
TargetDUSP1
Overview
- SupplierBioss
- Product NameMKP1 Polyclonal Antibody
- Delivery Days Customer16
- ApplicationsImmunoFluorescence, Western Blot, ELISA, ImmunoCytoChemistry, ImmunoHistoChemistry, ImmunoHistoChemistry Frozen, ImmunoHistoChemistry Paraffin
- Applications SupplierWB(1:300-5000), ELISA(1:500-1000), IHC-P(1:200-400), IHC-F(1:100-500), IF(IHC-P)(1:50-200), IF(IHC-F)(1:50-200), IF(ICC)(1:50-200)
- CertificationResearch Use Only
- ClonalityPolyclonal
- Concentration1 ug/ul
- ConjugateUnconjugated
- Gene ID1843
- Target nameDUSP1
- Target descriptiondual specificity phosphatase 1
- Target synonymsCL100, HVH1, MKP-1, MKP1, PTPN10, dual specificity protein phosphatase 1, CL 100, MAP kinase phosphatase 1, dual specificity protein phosphatase hVH1, mitogen-activated protein kinase phosphatase 1, protein-tyrosine phosphatase CL100, serine/threonine specific protein phosphatase
- HostRabbit
- IsotypeIgG
- Protein IDP28562
- Protein NameDual specificity protein phosphatase 1
- ReactivityBovine, Canine, Equine, Human, Mouse, Rabbit, Rat, Sheep
- Storage Instruction-20°C
- UNSPSC41116161
References
- Dexmedetomidine improves acute stress-induced liver injury in rats by regulating MKP-1, inhibiting NF-kappaB pathway and cell apoptosis. Sha J et al., 2019 Aug, J Cell PhysiolRead this paper
- Dexmedetomidine attenuates lipopolysaccharide-induced liver oxidative stress and cell apoptosis in rats by increasing GSK-3beta/MKP-1/Nrf2 pathway activity via the alpha2 adrenergic receptor. Sha J et al., 2019 Feb 1, Toxicol Appl PharmacolRead this paper
- Induction of Mkp-1 and Nuclear Translocation of Nrf2 by Limonoids from Khaya grandifoliola C.DC Protect L-02 Hepatocytes against Acetaminophen-Induced Hepatotoxicity. Kouam AF et al., 2017, Front PharmacolRead this paper
- Connexin 32 dysfunction promotes ethanol-related hepatocarcinogenesis via activation of Dusp1-Erk axis. Kato H et al., 2016 Jan 12, OncotargetRead this paper








![Mouse tissue extract (50 μg) was separated by 10% SDS-PAGE, and the membranes were blotted with DUSP1 antibody [N3C3] (GTX101229) diluted at 1:1000 and competitor's antibody (sc-1199) diluted at 1:200. The HRP-conjugated anti-rabbit IgG antibody (GTX213110-01) was used to detect the primary antibody.](https://www.genetex.com/upload/website/prouct_img/normal/GTX101229/GTX101229_40128_20170810_WB_M_liver_competitor_watermark_w_23060100_718.webp)