
Western Blot analysis of K562 cells using EEA1 Polyclonal Antibody
EEA1 Antibody
CSB-PA004632
ApplicationsWestern Blot, ELISA
Product group Antibodies
ReactivityHuman, Mouse
TargetEEA1
Overview
- SupplierCusabio
- Product NameEEA1 Antibody
- Delivery Days Customer20
- ApplicationsWestern Blot, ELISA
- CertificationResearch Use Only
- ClonalityPolyclonal
- ConjugateUnconjugated
- Gene ID8411
- Target nameEEA1
- Target descriptionearly endosome antigen 1
- Target synonymsMST105, MSTP105, ZFYVE2, early endosome antigen 1, early endosome antigen 1, 162kD, early endosome-associated protein, endosome-associated protein p162, zinc finger FYVE domain-containing protein 2
- HostRabbit
- IsotypeIgG
- Protein IDQ15075
- Protein NameEarly endosome antigen 1
- ReactivityHuman, Mouse
- Storage Instruction-20°C or -80°C
- UNSPSC41116161





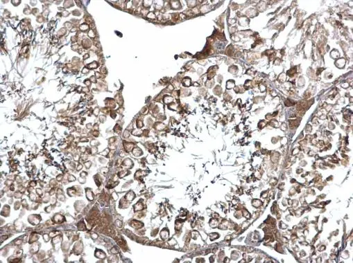
![EEA1 antibody [C3], C-term detects EEA1 protein at cytosol on mouse testis by immunohistochemical analysis. Sample: Paraffin-embedded mouse testis. EEA1 antibody [C3], C-term (GTX109638) dilution: 1:500.
Antigen Retrieval: Trilogy? (EDTA based, pH 8.0) buffer, 15min](https://www.genetex.com/upload/website/prouct_img/normal/GTX109638/GTX109638_41605_IHC_M_2_w_23060500_146.webp)
