![Various whole cell extracts (30 μg) were separated by 10% SDS-PAGE, and the membrane was blotted with ERp57 antibody [C3], C-term (GTX100297) diluted at 1:10000. The HRP-conjugated anti-rabbit IgG antibody (GTX213110-01) was used to detect the primary antibody. Various whole cell extracts (30 μg) were separated by 10% SDS-PAGE, and the membrane was blotted with ERp57 antibody [C3], C-term (GTX100297) diluted at 1:10000. The HRP-conjugated anti-rabbit IgG antibody (GTX213110-01) was used to detect the primary antibody.](https://www.genetex.com/upload/website/prouct_img/normal/GTX100297/GTX100297_39422_20190624_WB_R_w_23060100_776.webp)
Various whole cell extracts (30 μg) were separated by 10% SDS-PAGE, and the membrane was blotted with ERp57 antibody [C3], C-term (GTX100297) diluted at 1:10000. The HRP-conjugated anti-rabbit IgG antibody (GTX213110-01) was used to detect the primary antibody.
ERp57 antibody [C3], C-term
GTX100297
ApplicationsImmunoFluorescence, Western Blot, ImmunoCytoChemistry, ImmunoHistoChemistry, ImmunoHistoChemistry Paraffin
Product group Antibodies
ReactivityHuman, Mouse, Rat
TargetPDIA3
Overview
- SupplierGeneTex
- Product NameERp57 antibody [C3], C-term
- Delivery Days Customer9
- Application Supplier NoteWB: 1:1000-1:10000. ICC/IF: 1:100-1:1000. IHC-P: 1:100-1:1000. *Optimal dilutions/concentrations should be determined by the researcher.Not tested in other applications.
- ApplicationsImmunoFluorescence, Western Blot, ImmunoCytoChemistry, ImmunoHistoChemistry, ImmunoHistoChemistry Paraffin
- CertificationResearch Use Only
- ClonalityPolyclonal
- Concentration1 mg/ml
- ConjugateUnconjugated
- Gene ID2923
- Target namePDIA3
- Target descriptionprotein disulfide isomerase family A member 3
- Target synonymsER60, ERp57, ERp60, ERp61, GRP57, GRP58, HEL-S-269, HEL-S-93n, HsT17083, P58, PI-PLC, protein disulfide-isomerase A3, 58 kDa glucose-regulated protein, 58 kDa microsomal protein, ER protein 57, ER protein 60, disulfide isomerase ER-60, endoplasmic reticulum P58, endoplasmic reticulum resident protein 57, endoplasmic reticulum resident protein 60, epididymis secretory protein Li 269, epididymis secretory sperm binding protein Li 93n, glucose regulated protein, 58kDa, phospholipase C-alpha, protein disulfide isomerase-associated 3
- HostRabbit
- IsotypeIgG
- Protein IDP30101
- Protein NameProtein disulfide-isomerase A3
- Scientific DescriptionThis gene encodes a protein of the endoplasmic reticulum that interacts with lectin chaperones calreticulin and calnexin to modulate folding of newly synthesized glycoproteins. The protein was once thought to be a phospholipase; however, it has been demonstrated that the protein actually has protein disulfide isomerase activity. It is thought that complexes of lectins and this protein mediate protein folding by promoting formation of disulfide bonds in their glycoprotein substrates. [provided by RefSeq]
- ReactivityHuman, Mouse, Rat
- Storage Instruction-20°C or -80°C,2°C to 8°C
- UNSPSC41116161

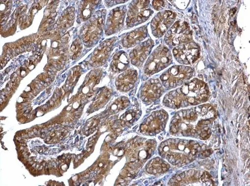
![ERp57 antibody [C3], C-term detects ERp57 protein at cytosol on mouse intestine by immunohistochemical analysis. Sample: Paraffin-embedded mouse intestine. ERp57 antibody [C3], C-term (GTX100297) dilution: 1:500.
Antigen Retrieval: Trilogy? (EDTA based, pH 8.0) buffer, 15min ERp57 antibody [C3], C-term detects ERp57 protein at cytosol on mouse intestine by immunohistochemical analysis. Sample: Paraffin-embedded mouse intestine. ERp57 antibody [C3], C-term (GTX100297) dilution: 1:500.
Antigen Retrieval: Trilogy? (EDTA based, pH 8.0) buffer, 15min](https://www.genetex.com/upload/website/prouct_img/normal/GTX100297/GTX100297_39422_IHC_M_w_23060100_692.webp)
![ERp57 antibody [C3], C-term detects ERp57 protein at cytosol on mouse intestine by immunohistochemical analysis. Sample: Paraffin-embedded mouse intestine. ERp57 antibody [C3], C-term (GTX100297) dilution: 1:500.
Antigen Retrieval: Trilogy? (EDTA based, pH 8.0) buffer, 15min ERp57 antibody [C3], C-term detects ERp57 protein at cytosol on mouse intestine by immunohistochemical analysis. Sample: Paraffin-embedded mouse intestine. ERp57 antibody [C3], C-term (GTX100297) dilution: 1:500.
Antigen Retrieval: Trilogy? (EDTA based, pH 8.0) buffer, 15min](https://www.genetex.com/upload/website/prouct_img/normal/GTX100297/GTX100297_39422_IHC_M_2_w_23060100_982.webp)
![ERp57 antibody [C3], C-term detects ERp57 protein at cytoplasm by immunofluorescent analysis. Sample: HeLa cells were fixed in 4% paraformaldehyde at RT for 15 min. Green: ERp57 protein stained by ERp57 antibody [C3], C-term (GTX100297) diluted at 1:1000. Red: alpha Tubulin, a cytoskeleton marker, stained by alpha Tubulin antibody [GT114] (GTX628802) diluted at 1:1000. Blue: Hoechst 33342 staining. ERp57 antibody [C3], C-term detects ERp57 protein at cytoplasm by immunofluorescent analysis. Sample: HeLa cells were fixed in 4% paraformaldehyde at RT for 15 min. Green: ERp57 protein stained by ERp57 antibody [C3], C-term (GTX100297) diluted at 1:1000. Red: alpha Tubulin, a cytoskeleton marker, stained by alpha Tubulin antibody [GT114] (GTX628802) diluted at 1:1000. Blue: Hoechst 33342 staining.](https://www.genetex.com/upload/website/prouct_img/normal/GTX100297/GTX100297_39422_20150410_IFA_w_23060100_451.webp)

![ERp57 antibody [C3], C-term detects PDIA3 protein at cytoplasm by immunofluorescent analysis. Sample: MCF-7 cells were fixed in ice-cold MeOH for 5 min. Green: PDIA3 protein stained by ERp57 antibody [C3], C-term (GTX100297) diluted at 1:500. Blue: Hoechst 33342 staining. ERp57 antibody [C3], C-term detects PDIA3 protein at cytoplasm by immunofluorescent analysis. Sample: MCF-7 cells were fixed in ice-cold MeOH for 5 min. Green: PDIA3 protein stained by ERp57 antibody [C3], C-term (GTX100297) diluted at 1:500. Blue: Hoechst 33342 staining.](https://www.genetex.com/upload/website/prouct_img/normal/GTX100297/GTX100297_39428_IFA_w_23060100_439.webp)
![ERp57 antibody [C3], C-term detects ERp57 protein at cytosol on rat middle brain by immunohistochemical analysis. Sample: Paraffin-embedded rat middle brain. ERp57 antibody [C3], C-term (GTX100297) dilution: 1:500.
Antigen Retrieval: Trilogy? (EDTA based, pH 8.0) buffer, 15min ERp57 antibody [C3], C-term detects ERp57 protein at cytosol on rat middle brain by immunohistochemical analysis. Sample: Paraffin-embedded rat middle brain. ERp57 antibody [C3], C-term (GTX100297) dilution: 1:500.
Antigen Retrieval: Trilogy? (EDTA based, pH 8.0) buffer, 15min](https://www.genetex.com/upload/website/prouct_img/normal/GTX100297/GTX100297_39422_IHC_R_w_23060100_939.webp)
![Various whole cell extracts (30 μg) were separated by 10% SDS-PAGE, and the membranes were blotted with ERp57 antibody [C3], C-term (GTX100297) diluted at 1:5000 and competitor's antibody diluted at 1:5000. The HRP-conjugated anti-rabbit IgG antibody (GTX213110-01) was used to detect the primary antibody. *The competitor is not affiliated with GeneTex and does not endorse this product. Various whole cell extracts (30 μg) were separated by 10% SDS-PAGE, and the membranes were blotted with ERp57 antibody [C3], C-term (GTX100297) diluted at 1:5000 and competitor's antibody diluted at 1:5000. The HRP-conjugated anti-rabbit IgG antibody (GTX213110-01) was used to detect the primary antibody. *The competitor is not affiliated with GeneTex and does not endorse this product.](https://www.genetex.com/upload/website/prouct_img/normal/GTX100297/GTX100297_39422_20200117_WB_competitor_watermark_w_23060100_150.webp)








