
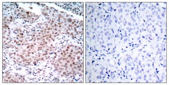
IHC-P analysis of human breast carcinoma tissue using GTX50137 Estrogen Receptor alpha (phospho Ser104) antibody. Left : Primary antibody Right : Primary antibody pre-incubated with the antigen specific peptide
Estrogen Receptor alpha (phospho Ser104) antibody
GTX50137
ApplicationsWestern Blot, ImmunoHistoChemistry, ImmunoHistoChemistry Paraffin
Product group Antibodies
ReactivityHuman
TargetESR1
Overview
- SupplierGeneTex
- Product NameEstrogen Receptor alpha (phospho Ser104) antibody
- Delivery Days Customer9
- Application Supplier NoteWB: 1:500-1:1000. IHC-P: 1:50-1:100. *Optimal dilutions/concentrations should be determined by the researcher.Not tested in other applications.
- ApplicationsWestern Blot, ImmunoHistoChemistry, ImmunoHistoChemistry Paraffin
- CertificationResearch Use Only
- ClonalityPolyclonal
- Concentration1 mg/ml
- ConjugateUnconjugated
- Gene ID2099
- Target nameESR1
- Target descriptionestrogen receptor 1
- Target synonymsER, ESR, ESRA, ESTRR, Era, NR3A1, estrogen receptor, E2 receptor alpha, ER-alpha, estradiol receptor, estrogen nuclear receptor alpha, estrogen receptor alpha E1-E2-1-2, estrogen receptor alpha E1-N2-E2-1-2, nuclear receptor subfamily 3 group A member 1, oestrogen receptor alpha
- HostRabbit
- IsotypeIgG
- Protein IDP03372
- Protein NameEstrogen receptor
- Scientific DescriptionThis gene encodes an estrogen receptor, a ligand-activated transcription factor composed of several domains important for hormone binding, DNA binding, and activation of transcription. The protein localizes to the nucleus where it may form a homodimer or a heterodimer with estrogen receptor 2. Estrogen and its receptors are essential for sexual development and reproductive function, but also play a role in other tissues such as bone. Estrogen receptors are also involved in pathological processes including breast cancer, endometrial cancer, and osteoporosis. Alternative promoter usage and alternative splicing result in dozens of transcript variants, but the full-length nature of many of these variants has not been determined. [provided by RefSeq, Mar 2014]
- ReactivityHuman
- Storage Instruction-20°C or -80°C,2°C to 8°C
- UNSPSC12352203









