
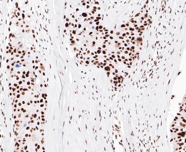
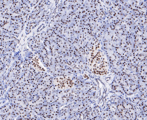
Paraformaldehyde-fixed, paraffin embedded Mouse kidney; Antigen retrieval by boiling in sodium citrate buffer (pH6.0) for 15min; Block endogenous peroxidase by 3% hydrogen peroxide for 20 minutes; Blocking buffer (normal goat serum) at 37°C for 30min; Antibody incubation with EWSR1/EWS Monoclonal Antibody, Unconjugated (bsm-54677R) at 1:200 for 30 minutes at room temperature, DAB staining.
EWSR1 Recombinant Antibody
BSM-54677R
ApplicationsImmunoFluorescence, Western Blot, ImmunoCytoChemistry, ImmunoHistoChemistry, ImmunoHistoChemistry Paraffin
Product group Antibodies
ReactivityHuman, Mouse, Rat
TargetEWSR1
Overview
- SupplierBioss
- Product NameEWSR1 Recombinant Antibody
- Delivery Days Customer16
- ApplicationsImmunoFluorescence, Western Blot, ImmunoCytoChemistry, ImmunoHistoChemistry, ImmunoHistoChemistry Paraffin
- Applications SupplierWB(1:300-5000), IHC-P(1:200-400), IF(ICC)(1:50-200), IHC()
- CertificationResearch Use Only
- ClonalityMonoclonal
- Clone ID4G8
- Concentration1 ug/ul
- ConjugateUnconjugated
- Gene ID2130
- Target nameEWSR1
- Target descriptionEWS RNA binding protein 1
- Target synonymsEWS, EWS-FLI1, RNA-binding protein EWS, Ewing sarcoma breakpoint region 1, Ewings sarcoma EWS-Fli1 (type 1) oncogene
- HostRabbit
- IsotypeIgG
- Protein IDQ01844
- Protein NameRNA-binding protein EWS
- ReactivityHuman, Mouse, Rat
- Storage Instruction-20°C
- UNSPSC41116161















