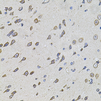
Immunohistochemistry of paraffin-embedded Rat brain using FoxO3a Polyclonal Antibody at dilution of 1:100 (40x lens).
FOXO3 Polyclonal Antibody
E-AB-62081
Product group Antibodies
Overview
- SupplierElabscience
- Product NameFOXO3 Polyclonal Antibody
- Delivery Days Customer12
- CertificationResearch Use Only
- Scientific DescriptionThis gene belongs to the forkhead family of transcription factors which are characterized by a distinct forkhead domain. This gene likely functions as a trigger for apoptosis through expression of genes necessary for cell death. Translocation of this gene with the MLL gene is associated with secondary acute leukemia. Alternatively spliced transcript variants encoding the same protein have been observed.
- UNSPSC12352203






![Various whole cell extracts (30 μg) were separated by 7.5% SDS-PAGE, and the membrane was blotted with FOXO3A antibody [C3], C-term (GTX100277) diluted at 1:1000. The HRP-conjugated anti-rabbit IgG antibody (GTX213110-01) was used to detect the primary antibody. Corresponding RNA expression data for the same cell lines are based on Human Protein Atlas program.](https://www.genetex.com/upload/website/prouct_img/normal/GTX100277/GTX100277_43985_20230210_WB_TPM_watermark_23021401_784.webp)