![Unboiled various tissue extracts (50 μg) were separated by 5% SDS-PAGE, and the membrane was blotted with GABA B Receptor 1 antibody [GT83] (GTX641938) diluted at 1:1000. The HRP-conjugated anti-mouse IgG antibody (GTX213111-01) was used to detect the primary antibody, and the signal was developed with Trident ECL plus-Enhanced. Unboiled various tissue extracts (50 μg) were separated by 5% SDS-PAGE, and the membrane was blotted with GABA B Receptor 1 antibody [GT83] (GTX641938) diluted at 1:1000. The HRP-conjugated anti-mouse IgG antibody (GTX213111-01) was used to detect the primary antibody, and the signal was developed with Trident ECL plus-Enhanced.](https://www.genetex.com/upload/website/prouct_img/normal/GTX641938/GTX641938_45663_20250221_WB_M_R_25022521_872.webp)
Unboiled various tissue extracts (50 μg) were separated by 5% SDS-PAGE, and the membrane was blotted with GABA B Receptor 1 antibody [GT83] (GTX641938) diluted at 1:1000. The HRP-conjugated anti-mouse IgG antibody (GTX213111-01) was used to detect the primary antibody, and the signal was developed with Trident ECL plus-Enhanced.
GABA B Receptor 1 antibody [GT83]
GTX641938
ApplicationsWestern Blot, ImmunoHistoChemistry, ImmunoHistoChemistry Paraffin
Product group Antibodies
ReactivityHuman, Mouse, Rat
TargetGABBR1
Overview
- SupplierGeneTex
- Product NameGABA B Receptor 1 antibody [GT83]
- Delivery Days Customer9
- Application Supplier NoteWB: 1:500-1:3000. *Optimal dilutions/concentrations should be determined by the researcher.Not tested in other applications.
- ApplicationsWestern Blot, ImmunoHistoChemistry, ImmunoHistoChemistry Paraffin
- CertificationResearch Use Only
- ClonalityMonoclonal
- Clone IDGT83
- Concentration1 mg/ml
- ConjugateUnconjugated
- Gene ID2550
- Target nameGABBR1
- Target descriptiongamma-aminobutyric acid type B receptor subunit 1
- Target synonymsGABABR1, GABBR1-3, GB1, GPRC3A, NEDLC, gamma-aminobutyric acid type B receptor subunit 1, GABA-B receptor, R1 subunit, gamma-aminobutyric acid (GABA) B receptor, 1, seven transmembrane helix receptor
- HostMouse
- IsotypeIgG2b
- Protein IDQ9UBS5
- Protein NameGamma-aminobutyric acid type B receptor subunit 1
- Scientific DescriptionThis gene encodes a receptor for gamma-aminobutyric acid (GABA), which is the main inhibitory neurotransmitter in the mammalian central nervous system. This receptor functions as a heterodimer with GABA(B) receptor 2. Defects in this gene may underlie brain disorders such as schizophrenia and epilepsy. Alternative splicing generates multiple transcript variants, but the full-length nature of some of these variants has not been determined. [provided by RefSeq, Jan 2016]
- ReactivityHuman, Mouse, Rat
- Storage Instruction-20°C or -80°C,2°C to 8°C
- UNSPSC41116161
![Unboiled various tissue extracts (50 μg) were separated by 5% SDS-PAGE, and the membrane was blotted with GABA B Receptor 1 antibody [GT83] (GTX641938) diluted at 1:1000. The HRP-conjugated anti-mouse IgG antibody (GTX213111-01) was used to detect the primary antibody. Unboiled various tissue extracts (50 μg) were separated by 5% SDS-PAGE, and the membrane was blotted with GABA B Receptor 1 antibody [GT83] (GTX641938) diluted at 1:1000. The HRP-conjugated anti-mouse IgG antibody (GTX213111-01) was used to detect the primary antibody.](https://www.genetex.com/upload/website/prouct_img/normal/GTX641938/GTX641938_45663_20250307_WB_M_tissue_25031900_804.webp)
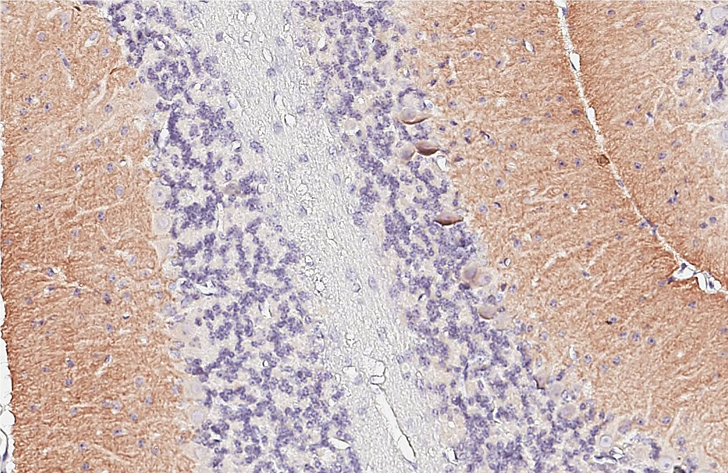
![GABA B Receptor 1 antibody [GT83] detects GABA B Receptor 1 protein by immunohistochemical analysis. Sample: Paraffin-embedded mouse cerebellum. GABA B Receptor 1 stained by GABA B Receptor 1 antibody [GT83] (GTX641938) diluted at 1:100. Antigen Retrieval: Tris-EDTA buffer, pH 9.0, 15 min GABA B Receptor 1 antibody [GT83] detects GABA B Receptor 1 protein by immunohistochemical analysis. Sample: Paraffin-embedded mouse cerebellum. GABA B Receptor 1 stained by GABA B Receptor 1 antibody [GT83] (GTX641938) diluted at 1:100. Antigen Retrieval: Tris-EDTA buffer, pH 9.0, 15 min](https://www.genetex.com/upload/website/prouct_img/normal/GTX641938/GTX641938_45663_20250512_IHC-P_M_2_25052800_771.webp)
![GABA B Receptor 1 antibody [GT83] detects GABA B Receptor 1 protein by immunohistochemical analysis. Sample: Paraffin-embedded mouse brain. GABA B Receptor 1 stained by GABA B Receptor 1 antibody [GT83] (GTX641938) diluted at 1:100. Antigen Retrieval: Tris-EDTA buffer, pH 9.0, 15 min GABA B Receptor 1 antibody [GT83] detects GABA B Receptor 1 protein by immunohistochemical analysis. Sample: Paraffin-embedded mouse brain. GABA B Receptor 1 stained by GABA B Receptor 1 antibody [GT83] (GTX641938) diluted at 1:100. Antigen Retrieval: Tris-EDTA buffer, pH 9.0, 15 min](https://www.genetex.com/upload/website/prouct_img/normal/GTX641938/GTX641938_45663_20250512_IHC-P_M_1_25052800_544.webp)
![GABA B Receptor 1 antibody [GT83] detects GABA B Receptor 1 protein by immunohistochemical analysis. Sample: Paraffin-embedded rat tissues. GABA B Receptor 1 stained by GABA B Receptor 1 antibody [GT83] (GTX641938) diluted at 1:100. Antigen Retrieval: Tris-EDTA buffer, pH 9.0, 15 min GABA B Receptor 1 antibody [GT83] detects GABA B Receptor 1 protein by immunohistochemical analysis. Sample: Paraffin-embedded rat tissues. GABA B Receptor 1 stained by GABA B Receptor 1 antibody [GT83] (GTX641938) diluted at 1:100. Antigen Retrieval: Tris-EDTA buffer, pH 9.0, 15 min](https://www.genetex.com/upload/website/prouct_img/normal/GTX641938/GTX641938_45663_20250516_IHC-P_R_Multiple_RPKM_2_25061003_157.webp)
![GABA B Receptor 1 antibody [GT83] detects GABA B Receptor 1 protein by immunohistochemical analysis. Sample: Paraffin-embedded rat colon. GABA B Receptor 1 stained by GABA B Receptor 1 antibody [GT83] (GTX641938) diluted at 1:100. Antigen Retrieval: Tris-EDTA buffer, pH 9.0, 15 min GABA B Receptor 1 antibody [GT83] detects GABA B Receptor 1 protein by immunohistochemical analysis. Sample: Paraffin-embedded rat colon. GABA B Receptor 1 stained by GABA B Receptor 1 antibody [GT83] (GTX641938) diluted at 1:100. Antigen Retrieval: Tris-EDTA buffer, pH 9.0, 15 min](https://www.genetex.com/upload/website/prouct_img/normal/GTX641938/GTX641938_45663_20250516_IHC-P_R_25061003_588.webp)
![GABA B Receptor 1 antibody [GT83] detects GABA B Receptor 1 protein by immunohistochemical analysis. Sample: Paraffin-embedded rat tissues. GABA B Receptor 1 stained by GABA B Receptor 1 antibody [GT83] (GTX641938) diluted at 1:100. Antigen Retrieval: Tris-EDTA buffer, pH 9.0, 15 min GABA B Receptor 1 antibody [GT83] detects GABA B Receptor 1 protein by immunohistochemical analysis. Sample: Paraffin-embedded rat tissues. GABA B Receptor 1 stained by GABA B Receptor 1 antibody [GT83] (GTX641938) diluted at 1:100. Antigen Retrieval: Tris-EDTA buffer, pH 9.0, 15 min](https://www.genetex.com/upload/website/prouct_img/normal/GTX641938/GTX641938_45663_20250516_IHC-P_R_Multiple_RPKM_1_25061003_455.webp)








