
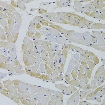
IHC-P analysis of rat heart tissue using GTX32630 GPD1 antibody. Dilution : 1:100
GPD1 antibody
GTX32630
ApplicationsWestern Blot, ImmunoHistoChemistry, ImmunoHistoChemistry Paraffin
Product group Antibodies
ReactivityHuman, Mouse, Rat
TargetGPD1
Overview
- SupplierGeneTex
- Product NameGPD1 antibody
- Delivery Days Customer9
- Application Supplier NoteWB: 1:500 - 1:2000. IHC-P: 1:50 - 1:200. *Optimal dilutions/concentrations should be determined by the researcher.Not tested in other applications.
- ApplicationsWestern Blot, ImmunoHistoChemistry, ImmunoHistoChemistry Paraffin
- CertificationResearch Use Only
- ClonalityPolyclonal
- ConjugateUnconjugated
- Gene ID2819
- Target nameGPD1
- Target descriptionglycerol-3-phosphate dehydrogenase 1
- Target synonymsGPD-C, GPDH-C, HTGTI, glycerol-3-phosphate dehydrogenase [NAD(+)], cytoplasmic, epididymis secretory sperm binding protein, glycerol-3-phosphate dehydrogenase 1 (soluble), glycerol-3-phosphate dehydrogenase [NAD+], cytoplasmic, glycerophosphate dehydrogenase
- HostRabbit
- IsotypeIgG
- Protein IDP21695
- Protein NameGlycerol-3-phosphate dehydrogenase [NAD(+)], cytoplasmic
- Scientific DescriptionThis gene encodes a member of the NAD-dependent glycerol-3-phosphate dehydrogenase family. The encoded protein plays a critical role in carbohydrate and lipid metabolism by catalyzing the reversible conversion of dihydroxyacetone phosphate (DHAP) and reduced nicotine adenine dinucleotide (NADH) to glycerol-3-phosphate (G3P) and NAD+. The encoded cytosolic protein and mitochondrial glycerol-3-phosphate dehydrogenase also form a glycerol phosphate shuttle that facilitates the transfer of reducing equivalents from the cytosol to mitochondria. Mutations in this gene are a cause of transient infantile hypertriglyceridemia. Alternatively spliced transcript variants encoding multiple isoforms have been observed for this gene. [provided by RefSeq, Mar 2012]
- ReactivityHuman, Mouse, Rat
- Storage Instruction-20°C or -80°C,2°C to 8°C
- UNSPSC41116161







![Non-transfected (–) and transfected (+) 293T whole cell extracts (30 μg) were separated by 10% SDS-PAGE, and the membrane was blotted with GPD1 antibody [HL1959] (GTX637796) diluted at 1:5000. The HRP-conjugated anti-rabbit IgG antibody (GTX213110-01) was used to detect the primary antibody.](https://www.genetex.com/upload/website/prouct_img/normal/GTX637796/GTX637796_T-44851_20230428_WB_multiple_B_23050223_653.webp)

