
Sample (50 μg of whole cell lysate) A: mouse brain 12% SDS PAGE GTX112695 diluted at 1:1000 The HRP-conjugated anti-rabbit IgG antibody (GTX213110-01) was used to detect the primary antibody.
GSTP1 antibody
GTX112695
ApplicationsImmunoFluorescence, Western Blot, ImmunoCytoChemistry, ImmunoHistoChemistry, ImmunoHistoChemistry Frozen, ImmunoHistoChemistry Paraffin
Product group Antibodies
ReactivityHuman, Mouse, Rat
TargetGSTP1
Overview
- SupplierGeneTex
- Product NameGSTP1 antibody
- Delivery Days Customer9
- Application Supplier NoteWB: 1:500-1:10000. ICC/IF: 1:100-1:1000. IHC-P: 1:100-1:1000. *Optimal dilutions/concentrations should be determined by the researcher.Not tested in other applications.
- ApplicationsImmunoFluorescence, Western Blot, ImmunoCytoChemistry, ImmunoHistoChemistry, ImmunoHistoChemistry Frozen, ImmunoHistoChemistry Paraffin
- CertificationResearch Use Only
- ClonalityPolyclonal
- Concentration0.64 mg/ml
- ConjugateUnconjugated
- Gene ID2950
- Target nameGSTP1
- Target descriptionglutathione S-transferase pi 1
- Target synonymsDFN7, FAEES3, GST3, GSTP, HEL-S-22, PI, glutathione S-transferase P, GST class-pi, GSTP1-1, deafness, X-linked 7, epididymis secretory protein Li 22, fatty acid ethyl ester synthase III
- HostRabbit
- IsotypeIgG
- Protein IDP09211
- Protein NameGlutathione S-transferase P
- Scientific DescriptionGlutathione S-transferases (GSTs) are a family of enzymes that play an important role in detoxification by catalyzing the conjugation of many hydrophobic and electrophilic compounds with reduced glutathione. Based on their biochemical, immunologic, and structural properties, the soluble GSTs are categorized into 4 main classes: alpha, mu, pi, and theta. This GST family member is a polymorphic gene encoding active, functionally different GSTP1 variant proteins that are thought to function in xenobiotic metabolism and play a role in susceptibility to cancer, and other diseases. [provided by RefSeq]
- ReactivityHuman, Mouse, Rat
- Storage Instruction-20°C or -80°C,2°C to 8°C
- UNSPSC12352203
References
- Bejarano E, Whitcomb EA, Pfeiffer RL, et al. Unbalanced redox status network as an early pathological event in congenital cataracts. Redox Biol. 2023,66:102869. doi: 10.1016/j.redox.2023.102869Read this paper
- Sze SCW, Zhang L, Zhang S, et al. Aberrant Transferrin and Ferritin Upregulation Elicits Iron Accumulation and Oxidative Inflammaging Causing Ferroptosis and Undermines Estradiol Biosynthesis in Aging Rat Ovaries by Upregulating NF-Κb-Activated Inducible Nitric Oxide Synthase: First Demonstration of an Intricate Mechanism. Int J Mol Sci. 2022,23(20). doi: 10.3390/ijms232012689Read this paper
- Asahina M, Fujinawa R, Hirayama H, et al. Reversibility of motor dysfunction in the rat model of NGLY1 deficiency. Mol Brain. 2021,14(1):91. doi: 10.1186/s13041-021-00806-6Read this paper
- Asahina M, Fujinawa R, Nakamura S, et al. Ngly1 -/- rats develop neurodegenerative phenotypes and pathological abnormalities in their peripheral and central nervous systems. Hum Mol Genet. 2020,29(10):1635-1647. doi: 10.1093/hmg/ddaa059Read this paper
- Zhang Q, Liu RX, Chan KW, et al. Exosomal transfer of p-STAT3 promotes acquired 5-FU resistance in colorectal cancer cells. J Exp Clin Cancer Res. 2019,38(1):320. doi: 10.1186/s13046-019-1314-9Read this paper
- Kim HJ, Lee SH, Jeong S, et al. Protease-Activated Receptors 2-Antagonist Suppresses Asthma by Inhibiting Reactive Oxygen Species-Thymic Stromal Lymphopoietin Inflammation and Epithelial Tight Junction Degradation. Allergy Asthma Immunol Res. 2019,11(4):560-571. doi: 10.4168/aair.2019.11.4.560Read this paper
- Lin ST, May EW, Chang JF, et al. PGRMC1 contributes to doxorubicin-induced chemoresistance in MES-SA uterine sarcoma. Cell Mol Life Sci. 2015,72(12):2395-409. doi: 10.1007/s00018-014-1831-9Read this paper
- May EW, Lin ST, Lin CC, et al. Identification of up- and down-regulated proteins in doxorubicin-resistant uterine cancer cells: reticulocalbin-1 plays a key role in the development of doxorubicin-associated resistance. Pharmacol Res. 2014,90:1-17. doi: 10.1016/j.phrs.2014.08.007Read this paper
- Chang JF, Lin ST, Hung E, et al. Nuclear proteomics with XRCC3 knockdown to reveal the development of doxorubicin-resistant uterine cancer. Toxicol Sci. 2014,139(2):396-406. doi: 10.1093/toxsci/kfu051Read this paper
- Chen JY, Chou HC, Chen YH, et al. High glucose-induced proteome alterations in hepatocytes and its possible relevance to diabetic liver disease. J Nutr Biochem. 2013,24(11):1889-910. doi: 10.1016/j.jnutbio.2013.05.006Read this paper





![GSTP1 antibody detects GSTP1 protein at cytoplasm and nucleus by immunofluorescent analysis. Sample: HeLa cells were fixed in 4% paraformaldehyde at RT for 15 min. Green: GSTP1 protein stained by GSTP1 antibody (GTX112695) diluted at 1:500. Red: alpha Tubulin, a cytoskeleton marker, stained by alpha Tubulin antibody [GT114] (GTX628802) diluted at 1:1000. Blue: Hoechst 33342 staining. GSTP1 antibody detects GSTP1 protein at cytoplasm and nucleus by immunofluorescent analysis. Sample: HeLa cells were fixed in 4% paraformaldehyde at RT for 15 min. Green: GSTP1 protein stained by GSTP1 antibody (GTX112695) diluted at 1:500. Red: alpha Tubulin, a cytoskeleton marker, stained by alpha Tubulin antibody [GT114] (GTX628802) diluted at 1:1000. Blue: Hoechst 33342 staining.](https://www.genetex.com/upload/website/prouct_img/normal/GTX112695/GTX112695_40394_20150410_IFA_w_23060500_966.webp)








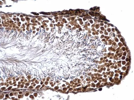
![IHC-P analysis of human prostate tissue using GTX83077 GSTP1 antibody [3F2C2].](https://www.genetex.com/upload/website/prouct_img/normal/GTX83077/GTX83077_20170912_IHC-P_w_23061322_450.webp)
