
Paraformaldehyde-fixed and paraffin-embedded Rat Skeletal Muscle tissue incubated with CDH13 (6F11) Monoclonal Antibody (bsm-54321R) at 1:100, overnight at 4°C, followed by a conjugated secondary antibody and DAB staining. Counterstained with hematoxylin.
H Cadherin Recombinant Antibody
BSM-54321R
ApplicationsImmunoFluorescence, ImmunoHistoChemistry, ImmunoHistoChemistry Frozen, ImmunoHistoChemistry Paraffin
Product group Antibodies
ReactivityHuman, Mouse, Rat
TargetCDH13
Overview
- SupplierBioss
- Product NameH Cadherin Recombinant Antibody
- Delivery Days Customer16
- ApplicationsImmunoFluorescence, ImmunoHistoChemistry, ImmunoHistoChemistry Frozen, ImmunoHistoChemistry Paraffin
- Applications SupplierIHC-P(1:200-400), IHC-F(1:100-500), IF()
- CertificationResearch Use Only
- ClonalityMonoclonal
- Concentration1 ug/ul
- ConjugateUnconjugated
- Gene ID1012
- Target nameCDH13
- Target descriptioncadherin 13
- Target synonymsCDHH, P105, cadherin-13, H-cadherin (heart), T-cad, T-cadherin, cadherin 13, H-cadherin (heart), heart cadherin
- HostRabbit
- IsotypeIgG
- Protein IDP55290
- Protein NameCadherin-13
- ReactivityHuman, Mouse, Rat
- Storage Instruction-20°C
- UNSPSC41116161












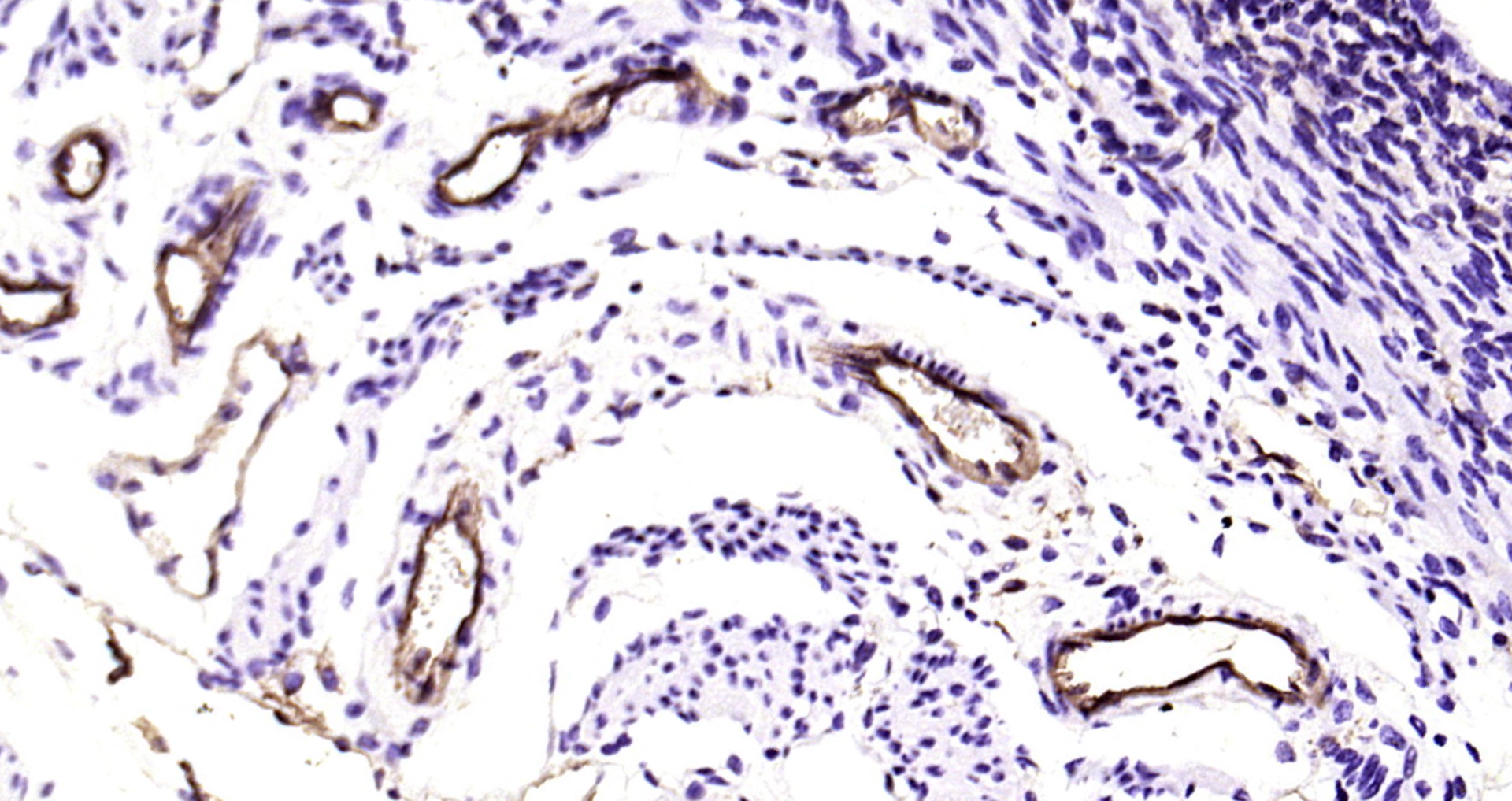
![IHC-P analysis of human esophageal tissue section using GTX02852 CDH13 antibody [GT1255]. Dilution : 1:100](https://www.genetex.com/upload/website/prouct_img/normal/GTX02852/A3244_IHC_02_(1073419)_w_23053123_883.webp)
