![HMGA2 antibody [GT763] detects HMGA2 protein at nucleus by immunohistochemical analysis. Sample: Paraffin-embedded mouse brain. HMGA2 stained by HMGA2 antibody [GT763] (GTX629478) diluted at 1:200. Antigen Retrieval: Citrate buffer, pH 6.0, 15 min HMGA2 antibody [GT763] detects HMGA2 protein at nucleus by immunohistochemical analysis. Sample: Paraffin-embedded mouse brain. HMGA2 stained by HMGA2 antibody [GT763] (GTX629478) diluted at 1:200. Antigen Retrieval: Citrate buffer, pH 6.0, 15 min](https://www.genetex.com/upload/website/prouct_img/normal/GTX629478/GTX629478_43010_20181130_IHC-P_M_w_23061202_449.webp)
HMGA2 antibody [GT763] detects HMGA2 protein at nucleus by immunohistochemical analysis. Sample: Paraffin-embedded mouse brain. HMGA2 stained by HMGA2 antibody [GT763] (GTX629478) diluted at 1:200. Antigen Retrieval: Citrate buffer, pH 6.0, 15 min
HMGA2 antibody [GT763]
GTX629478
ApplicationsImmunoFluorescence, ImmunoPrecipitation, Western Blot, ImmunoCytoChemistry, ImmunoHistoChemistry, ImmunoHistoChemistry Paraffin
Product group Antibodies
ReactivityHuman, Mouse, Rat
TargetHMGA2
Overview
- SupplierGeneTex
- Product NameHMGA2 antibody [GT763]
- Delivery Days Customer9
- Application Supplier NoteWB: 1:500-1:3000. ICC/IF: 1:100-1:1000. IHC-P: 1:100-1:1000. IP: 1:100-1:500. *Optimal dilutions/concentrations should be determined by the researcher.Not tested in other applications.
- ApplicationsImmunoFluorescence, ImmunoPrecipitation, Western Blot, ImmunoCytoChemistry, ImmunoHistoChemistry, ImmunoHistoChemistry Paraffin
- CertificationResearch Use Only
- ClonalityMonoclonal
- Clone IDGT763
- Concentration1 mg/ml
- ConjugateUnconjugated
- Gene ID8091
- Target nameHMGA2
- Target descriptionhigh mobility group AT-hook 2
- Target synonymsBABL, HMGI-C, HMGIC, LIPO, SRS5, STQTL9, high mobility group protein HMGI-C, HMGA2/KRT121P fusion
- HostMouse
- IsotypeIgG1
- Protein IDP52926
- Protein NameHigh mobility group protein HMGI-C
- Scientific DescriptionThis gene encodes a protein that belongs to the non-histone chromosomal high mobility group (HMG) protein family. HMG proteins function as architectural factors and are essential components of the enhancesome. This protein contains structural DNA-binding domains and may act as a transcriptional regulating factor. Identification of the deletion, amplification, and rearrangement of this gene that are associated with myxoid liposarcoma suggests a role in adipogenesis and mesenchymal differentiation. A gene knock out study of the mouse counterpart demonstrated that this gene is involved in diet-induced obesity. Alternate transcriptional splice variants, encoding different isoforms, have been characterized. [provided by RefSeq]
- ReactivityHuman, Mouse, Rat
- Storage Instruction-20°C or -80°C,2°C to 8°C
- UNSPSC41116161
![Immunoprecipitation of HMGA2 protein from HepG2 nuclear extracts using 5 μg of HMGA2 antibody [GT763] (GTX629478). Western blot analysis was performed using HMGA2 antibody [GT763] (GTX629478) diluted at 1:500. EasyBlot anti-Rabbit IgG (GTX221666-01) was used as a secondary reagent. Immunoprecipitation of HMGA2 protein from HepG2 nuclear extracts using 5 μg of HMGA2 antibody [GT763] (GTX629478). Western blot analysis was performed using HMGA2 antibody [GT763] (GTX629478) diluted at 1:500. EasyBlot anti-Rabbit IgG (GTX221666-01) was used as a secondary reagent.](https://www.genetex.com/upload/website/prouct_img/normal/GTX629478/GTX629478_41351_IP_w_23061202_772.webp)
![HMGA2 antibody [GT763] detects HMGA2 protein on C2C12 by immunohistochemical analysis. Sample: Paraffin-embedded C2C12. HMGA2 antibody [GT763] (GTX629478) dilution: 1:200.
Antigen Retrieval: Trilogy? (EDTA based, pH 8.0) buffer, 15min HMGA2 antibody [GT763] detects HMGA2 protein on C2C12 by immunohistochemical analysis. Sample: Paraffin-embedded C2C12. HMGA2 antibody [GT763] (GTX629478) dilution: 1:200.
Antigen Retrieval: Trilogy? (EDTA based, pH 8.0) buffer, 15min](https://www.genetex.com/upload/website/prouct_img/normal/GTX629478/GTX629478_41351_IHC_M_w_23061202_909.webp)
![Whole cell extract (30 μg) was separated by 15% SDS-PAGE, and the membrane was blotted with HMGA2 antibody [GT763] (GTX629478) diluted at 1:1000. The HRP-conjugated anti-mouse IgG antibody (GTX213111-01) was used to detect the primary antibody. Whole cell extract (30 μg) was separated by 15% SDS-PAGE, and the membrane was blotted with HMGA2 antibody [GT763] (GTX629478) diluted at 1:1000. The HRP-conjugated anti-mouse IgG antibody (GTX213111-01) was used to detect the primary antibody.](https://www.genetex.com/upload/website/prouct_img/normal/GTX629478/GTX629478_41351_20160121_WB_R_w_23061202_142.webp)
![Non-transfected (–) and transfected (+) HeLa whole cell extracts (30 μg) were separated by 15% SDS-PAGE, and the membrane was blotted with HMGA2 antibody [GT763] (GTX629478) diluted at 1:500. The HRP-conjugated anti-mouse IgG antibody (GTX213111-01) was used to detect the primary antibody. Non-transfected (–) and transfected (+) HeLa whole cell extracts (30 μg) were separated by 15% SDS-PAGE, and the membrane was blotted with HMGA2 antibody [GT763] (GTX629478) diluted at 1:500. The HRP-conjugated anti-mouse IgG antibody (GTX213111-01) was used to detect the primary antibody.](https://www.genetex.com/upload/website/prouct_img/normal/GTX629478/GTX629478_41351_20190913_WB_shRNA_watermark_w_23061202_124.webp)
![HMGA2 antibody [GT763] detects HMGA2 protein by western blot analysis. A. 30 μg HepG2 whole cell lysate/extract 15% SDS-PAGE HMGA2 antibody [GT763] (GTX629478) dilution: 1:1000 The HRP-conjugated anti-mouse IgG antibody (GTX213111-01) was used to detect the primary antibody. HMGA2 antibody [GT763] detects HMGA2 protein by western blot analysis. A. 30 μg HepG2 whole cell lysate/extract 15% SDS-PAGE HMGA2 antibody [GT763] (GTX629478) dilution: 1:1000 The HRP-conjugated anti-mouse IgG antibody (GTX213111-01) was used to detect the primary antibody.](https://www.genetex.com/upload/website/prouct_img/normal/GTX629478/GTX629478_41351_WB_w_23061202_192.webp)
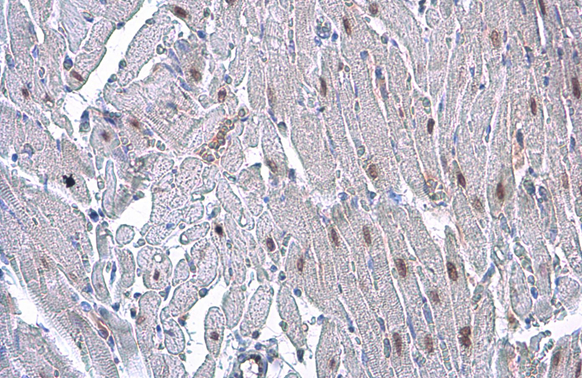
![HMGA2 antibody [GT763] detects HMGA2 protein at nucleus by immunohistochemical analysis. Sample: Paraffin-embedded rat heart. HMGA2 stained by HMGA2 antibody [GT763] (GTX629478) diluted at 1:200. Antigen Retrieval: Citrate buffer, pH 6.0, 15 min HMGA2 antibody [GT763] detects HMGA2 protein at nucleus by immunohistochemical analysis. Sample: Paraffin-embedded rat heart. HMGA2 stained by HMGA2 antibody [GT763] (GTX629478) diluted at 1:200. Antigen Retrieval: Citrate buffer, pH 6.0, 15 min](https://www.genetex.com/upload/website/prouct_img/normal/GTX629478/GTX629478_43010_20181130_IHC-P_R_w_23061202_136.webp)
![HMGA2 antibody [GT763] detects HMGA2 protein at on RT2 xenograft by immunohistochemical analysis. Sample: Paraffin-embedded RT2 xenograft. HMGA2 antibody [GT763] (GTX629478) dilution: 1:200.
Antigen Retrieval: Trilogy? (EDTA based, pH 8.0) buffer, 15min HMGA2 antibody [GT763] detects HMGA2 protein at on RT2 xenograft by immunohistochemical analysis. Sample: Paraffin-embedded RT2 xenograft. HMGA2 antibody [GT763] (GTX629478) dilution: 1:200.
Antigen Retrieval: Trilogy? (EDTA based, pH 8.0) buffer, 15min](https://www.genetex.com/upload/website/prouct_img/normal/GTX629478/GTX629478_41351_IHC_R_w_23061202_715.webp)
![HMGA2 antibody [GT763] detects HMGA2 protein at nucleus by immunofluorescent analysis. Sample: HeLa cells were fixed in 4% paraformaldehyde at RT for 15 min. Green: HMGA2 protein stained by HMGA2 antibody [GT763] (GTX629478) diluted at 1:200. Red: phalloidin, a cytoskeleton marker, diluted at 1:50. HMGA2 antibody [GT763] detects HMGA2 protein at nucleus by immunofluorescent analysis. Sample: HeLa cells were fixed in 4% paraformaldehyde at RT for 15 min. Green: HMGA2 protein stained by HMGA2 antibody [GT763] (GTX629478) diluted at 1:200. Red: phalloidin, a cytoskeleton marker, diluted at 1:50.](https://www.genetex.com/upload/website/prouct_img/normal/GTX629478/GTX629478_41351_2016518_IFA_w_23061202_554.webp)
![HMGA2 antibody [GT763] detects HMGA2 protein at on SkHep1 xenograft by immunohistochemical analysis. Sample: Paraffin-embedded SkHep1 xenograft. HMGA2 antibody [GT763] (GTX629478) dilution: 1:200.
Antigen Retrieval: Trilogy? (EDTA based, pH 8.0) buffer, 15min HMGA2 antibody [GT763] detects HMGA2 protein at on SkHep1 xenograft by immunohistochemical analysis. Sample: Paraffin-embedded SkHep1 xenograft. HMGA2 antibody [GT763] (GTX629478) dilution: 1:200.
Antigen Retrieval: Trilogy? (EDTA based, pH 8.0) buffer, 15min](https://www.genetex.com/upload/website/prouct_img/normal/GTX629478/GTX629478_41351_IHC_w_23061202_962.webp)






![HMGA2 antibody - ChIP grade detects HMGA2 protein at nucleus by immunofluorescent analysis. Sample: HeLa cells were fixed in 4% paraformaldehyde at RT for 15 min. Green: HMGA2 stained by HMGA2 antibody - ChIP grade (GTX100519) diluted at 1:500. Red: alpha Tubulin, a cytoskeleton marker, stained by alpha Tubulin antibody [GT114] (GTX628802) diluted at 1:1000.](https://www.genetex.com/upload/website/prouct_img/normal/GTX100519/GTX100519_44825_20221104_ICC_IF_22112219_632.webp)

![Various whole cell extracts (30 μg) were separated by 15% SDS-PAGE, and the membrane was blotted with HMGA2 antibody [HL1936] (GTX637773) diluted at 1:500. The HRP-conjugated anti-rabbit IgG antibody (GTX213110-01) was used to detect the primary antibody.](https://www.genetex.com/upload/website/prouct_img/normal/GTX637773/GTX637773_T-44844_20221125_WB_M_22112723_710.webp)
![IHC-P analysis of human follicular thyroid carcinoma (FTC) tissue using GTX639938 HMGA2 antibody [HMV314] HistoMAX?. Follicular carcinoma with strong HMGA2 staining of all tumor cells.](https://www.genetex.com/upload/website/prouct_img/normal/GTX639938/GTX639938_20240403_IHC-P_2_24040301_386.webp)