
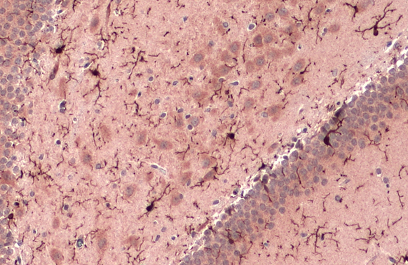
Iba1 antibody detects Iba1 protein by immunohistochemical analysis. Sample: Paraffin-embedded rat tissues. Iba1 stained by Iba1 antibody (GTX100042) diluted at 1:100. Antigen Retrieval: Citrate buffer, pH 6.0, 15 min
Iba1 antibody
GTX100042
ApplicationsFlow Cytometry, ImmunoFluorescence, Western Blot, ImmunoCytoChemistry, ImmunoHistoChemistry, ImmunoHistoChemistry Frozen, ImmunoHistoChemistry Paraffin
Product group Antibodies
ReactivityHuman, Mouse, Rat
TargetAIF1
Overview
- SupplierGeneTex
- Product NameIba1 antibody
- Delivery Days Customer9
- Application Supplier NoteWB: 1:500-1:10000. ICC/IF: 1:100-1:1000. IHC-P: 1:100-1:1000. IHC-Fr: 1:100-1:1000. FCM: 1:50-1:200. *Optimal dilutions/concentrations should be determined by the researcher.Not tested in other applications.
- ApplicationsFlow Cytometry, ImmunoFluorescence, Western Blot, ImmunoCytoChemistry, ImmunoHistoChemistry, ImmunoHistoChemistry Frozen, ImmunoHistoChemistry Paraffin
- CertificationResearch Use Only
- ClonalityPolyclonal
- Concentration1 mg/ml
- ConjugateUnconjugated
- Gene ID199
- Target nameAIF1
- Target descriptionallograft inflammatory factor 1
- Target synonymsAIF-1, IBA1, IRT-1, IRT1, allograft inflammatory factor 1, interferon gamma responsive transcript, ionized calcium-binding adapter molecule 1, protein G1
- HostRabbit
- IsotypeIgG
- Protein IDP55008
- Protein NameAllograft inflammatory factor 1
- Scientific DescriptionThis gene is induced by cytokines and interferon. Its protein product is thought to be involved in negative regulation of growth of vascular smooth muscle cells, which contributes to the anti-inflammatory response to vessel wall trauma. Three transcript variants encoding different isoforms have been found for this gene. [provided by RefSeq]
- ReactivityHuman, Mouse, Rat
- Storage Instruction-20°C or -80°C,2°C to 8°C
- UNSPSC41116161



![Iba1 antibody detects Iba1 protein expression at microglias by immunohistochemical analysis. Sample: Frozen sectioned E13.5 Rat brain. Green: Iba1 protein stained by Iba1 antibody (GTX100042) diluted at 1:250. Red: beta Tubulin 3/ TUJ1, a mature neuron marker, stained by beta Tubulin 3/ TUJ1 antibody [GT11710] (GTX631836) diluted at 1:500. Blue: Fluoroshield with DAPI (GTX30920). Iba1 antibody detects Iba1 protein expression at microglias by immunohistochemical analysis. Sample: Frozen sectioned E13.5 Rat brain. Green: Iba1 protein stained by Iba1 antibody (GTX100042) diluted at 1:250. Red: beta Tubulin 3/ TUJ1, a mature neuron marker, stained by beta Tubulin 3/ TUJ1 antibody [GT11710] (GTX631836) diluted at 1:500. Blue: Fluoroshield with DAPI (GTX30920).](https://www.genetex.com/upload/website/prouct_img/normal/GTX100042/GTX100042_41556_20161005_IHC-Fr_R_w_23053123_599.webp)













