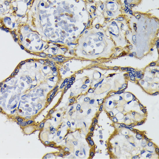
Immunohistochemistry of paraffin-embedded Human placenta using IQGAP1 Polyclonal Antibody at dilution of 1:200 (40x lens).
IQGAP1 Polyclonal Antibody
E-AB-65520
Product group Antibodies
Overview
- SupplierElabscience
- Product NameIQGAP1 Polyclonal Antibody
- Delivery Days Customer12
- CertificationResearch Use Only
- Scientific DescriptionThis gene encodes a member of the IQGAP family. The protein contains four IQ domains, one calponin homology domain, one Ras-GAP domain and one WW domain. It interacts with components of the cytoskeleton, with cell adhesion molecules, and with several signaling molecules to regulate cell morphology and motility. Expression of the protein is upregulated by gene amplification in two gastric cancer cell lines.
- UNSPSC12352203








