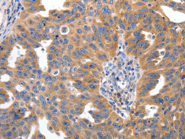
Immunohistochemistry of paraffin-embedded Human ovarian cancer tissue using IRS2 Polyclonal Antibody at dilution 1:100
IRS2 Polyclonal Antibody
E-AB-17345
Product group Antibodies
Overview
- SupplierElabscience
- Product NameIRS2 Polyclonal Antibody
- Delivery Days Customer12
- CertificationResearch Use Only
- Scientific DescriptionThis gene encodes the insulin receptor substrate 2, a cytoplasmic signaling molecule that mediates effects of insulin, insulin-like growth factor 1, and other cytokines by acting as a molecular adaptor between diverse receptor tyrosine kinases and downstream effectors. The product of this gene is phosphorylated by the insulin receptor tyrosine kinase upon receptor stimulation, as well as by an interleukin 4 receptor-associated kinase in response to IL4 treatment.
- UNSPSC12352203





