
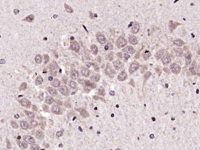
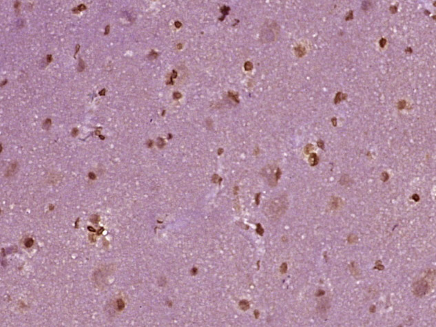
Paraformaldehyde-fixed, paraffin embedded Mouse brain; Antigen retrieval by boiling in sodium citrate buffer (pH6.0) for 15min; Block endogenous peroxidase by 3% hydrogen peroxide for 20 minutes; Blocking buffer (normal goat serum) at 37°C for 30min; Antibody incubation with KEAP1 Polyclonal Antibody, Unconjugated (bs-3648R) at 1:400 overnight at 4°C, DAB staining.
KEAP1 Polyclonal Antibody
BS-3648R

ApplicationsImmunoFluorescence, Western Blot, ELISA, ImmunoCytoChemistry, ImmunoHistoChemistry, ImmunoHistoChemistry Frozen, ImmunoHistoChemistry Paraffin
Product group Antibodies
TargetKEAP1
Overview
- SupplierBioss Antibodies
- Product NameKEAP1 Polyclonal Antibody
- Delivery Days Customer16
- ApplicationsImmunoFluorescence, Western Blot, ELISA, ImmunoCytoChemistry, ImmunoHistoChemistry, ImmunoHistoChemistry Frozen, ImmunoHistoChemistry Paraffin
- Applications SupplierWB(1:300-5000), ELISA(1:500-1000), IHC-P(1:200-400), IHC-F(1:100-500), IF(IHC-P)(1:50-200), IF(IHC-F)(1:50-200), IF(ICC)(1:50-200)
- CertificationResearch Use Only
- ClonalityPolyclonal
- Concentration1 ug/ul
- ConjugateUnconjugated
- Gene ID9817
- Target nameKEAP1
- Target descriptionkelch like ECH associated protein 1
- Target synonymscytosolic inhibitor of Nrf2; INrf2; KEAP1 delta C; kelch-like ECH-associated protein 1; kelch-like family member 19; kelch-like protein 19; KLHL19
- HostRabbit
- IsotypeIgG
- Protein IDQ14145
- Protein NameKelch-like ECH-associated protein 1
- Storage Instruction-20°C
- UNSPSC12352203
References
- Lycopene Prevents DEHP-Induced Leydig Cell Damage with the Nrf2 Antioxidant Signaling Pathway in Mice. Zhao Y et al., 2020 Feb 19, J Agric Food ChemRead more
- Effect of acrylamide on BEAS-2B normal human lung cells: Cytotoxic, oxidative, apoptotic and morphometric analysis. Kacar S et al., 2019 Jul, Acta HistochemRead more
- Dietary resveratrol improves antioxidant status of sows and piglets and regulates antioxidant gene expression in placenta by Keap1-Nrf2 pathway and Sirt1. Meng Q et al., 2018, J Anim Sci BiotechnolRead more
- Induction of Mkp-1 and Nuclear Translocation of Nrf2 by Limonoids from Khaya grandifoliola C.DC Protect L-02 Hepatocytes against Acetaminophen-Induced Hepatotoxicity. Kouam AF et al., 2017, Front PharmacolRead more
- The electrophilic character of quinones is essential for the suppression of Bach1. Su C et al., 2017 Jul 15, ToxicologyRead more
- Caveolin-1 Expression Ameliorates Nephrotic Damage in a Rabbit Model of Cholesterol-Induced Hypercholesterolemia. Chen YH et al., 2016, PLoS OneRead more
- Tetrachlorobenzoquinone activates Nrf2 signaling by Keap1 cross-linking and ubiquitin translocation but not Keap1-Cullin3 complex dissociation. Su C et al., 2015 Apr 20, Chem Res ToxicolRead more









