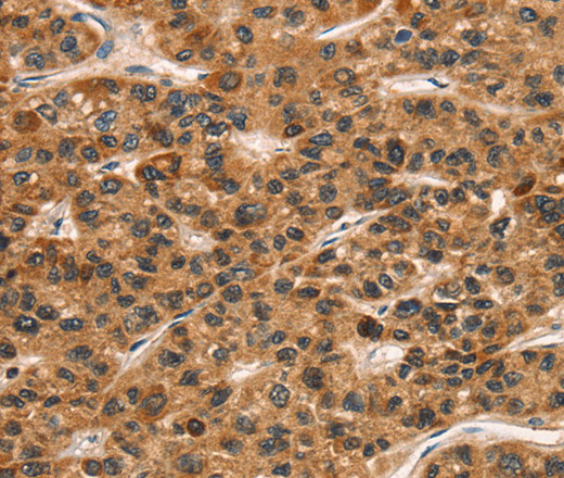
Immunohistochemistry of paraffin-embedded Human liver cancer tissue using CD159a/c Polyclonal Antibody at dilution 1:30
CD159a/c Polyclonal Antibody
E-AB-14248
ApplicationsImmunoHistoChemistry
Product group Antibodies
TargetKLRC1
Overview
- SupplierElabscience
- Product NameCD159a/c Polyclonal Antibody
- Delivery Days Customer12
- ApplicationsImmunoHistoChemistry
- Applications SupplierELISA IHC
- CertificationResearch Use Only
- ClonalityPolyclonal
- Concentration0.3 mg/ml
- ConjugateUnconjugated
- Gene ID3821
- Target nameKLRC1
- Target descriptionkiller cell lectin like receptor C1
- Target synonymsCD159A, NKG2, NKG2A, NKG2-A/NKG2-B type II integral membrane protein, C-lectin type II protein, CD159 antigen-like family member A, NK cell receptor A, NKG2-1/B activating NK receptor, NKG2-A/B type II integral membrane protein, NKG2-A/B-activating NK receptor, killer cell lectin-like receptor subfamily C, member 1, natural killer cell lectin, natural killer group protein 2
- HostRabbit
- IsotypeIgG
- Protein IDP26715
- Protein NameNKG2-A/NKG2-B type II integral membrane protein
- Scientific DescriptionNatural killer (NK) cells are lymphocytes that can mediate lysis of certain tumor cells and virus-infected cells without previous activation. They can also regulate specific humoral and cell-mediated immunity. The protein encoded by this gene belongs to the killer cell lectin-like receptor family, also called NKG2 family, which is a group of transmembrane proteins preferentially expressed in NK cells. This family of proteins is characterized by the type II membrane orientation and the presence of a C-type lectin domain. This protein forms a complex with another family member, KLRD1/CD94, and has been implicated in the recognition of the MHC class I HLA-E molecules in NK cells.
- Storage Instruction-20°C
- UNSPSC41116161







