![IHC-P analysis of bladder carcinoma tissue using GTX84176 LTA4H antibody [9C5]. Antigen retrieval : Heat-induced epitope retrieval by 10mM citrate buffer, pH6.0, 100oC for 10min. Dilution : 1:50 IHC-P analysis of bladder carcinoma tissue using GTX84176 LTA4H antibody [9C5]. Antigen retrieval : Heat-induced epitope retrieval by 10mM citrate buffer, pH6.0, 100oC for 10min. Dilution : 1:50](https://www.genetex.com/upload/website/prouct_img/normal/GTX84176/GTX84176_2428_IHC-P_w_23061420_536.webp)
IHC-P analysis of bladder carcinoma tissue using GTX84176 LTA4H antibody [9C5]. Antigen retrieval : Heat-induced epitope retrieval by 10mM citrate buffer, pH6.0, 100oC for 10min. Dilution : 1:50
LTA4H antibody [9C5]
GTX84176
ApplicationsImmunoPrecipitation, Western Blot, ImmunoHistoChemistry, ImmunoHistoChemistry Paraffin
Product group Antibodies
ReactivityCanine, Human, Monkey, Mouse
TargetLTA4H
Overview
- SupplierGeneTex
- Product NameLTA4H antibody [9C5]
- Delivery Days Customer9
- Application Supplier NoteWB: 1:200. IHC-P: 1:100-1:200. *Optimal dilutions/concentrations should be determined by the researcher.Not tested in other applications.
- ApplicationsImmunoPrecipitation, Western Blot, ImmunoHistoChemistry, ImmunoHistoChemistry Paraffin
- CertificationResearch Use Only
- ClonalityMonoclonal
- Clone ID9C5
- Concentration1 mg/ml
- ConjugateUnconjugated
- Gene ID4048
- Target nameLTA4H
- Target descriptionleukotriene A4 hydrolase
- Target synonymsleukotriene A-4 hydrolase, LTA-4 hydrolase, testicular secretory protein Li 27, tripeptide aminopeptidase LTA4H
- HostMouse
- IsotypeIgG2b
- Protein IDP09960
- Protein NameLeukotriene A-4 hydrolase
- Scientific DescriptionHydrolyzes an epoxide moiety of leukotriene A4 (LTA-4) to form leukotriene B4 (LTB-4). The enzyme also has some peptidase activity.
- ReactivityCanine, Human, Monkey, Mouse
- Storage Instruction-20°C or -80°C,2°C to 8°C
- UNSPSC41116161
![WB analysis of HEK293T cells transfected with LTA4H plasmid (Right) or empty vector (Left) for 48 hrs using GTX84176 LTA4H antibody [9C5]. Loading : 5 ug per lane WB analysis of HEK293T cells transfected with LTA4H plasmid (Right) or empty vector (Left) for 48 hrs using GTX84176 LTA4H antibody [9C5]. Loading : 5 ug per lane](https://www.genetex.com/upload/website/prouct_img/normal/GTX84176/GTX84176_4183_WB_w_23061420_792.webp)
![IP analysis of DDDDK tagged LTA4H overexpressed HEK293T lysate using GTX84176 LTA4H antibody [9C5].After extensive wash to remove any non-specific binding, the immuno-precipitated products were analyzed with rabbit anti-DDDDK polyclonal antibody. IP reaction : 2μg antibody / 500μl cell lysate IP analysis of DDDDK tagged LTA4H overexpressed HEK293T lysate using GTX84176 LTA4H antibody [9C5].After extensive wash to remove any non-specific binding, the immuno-precipitated products were analyzed with rabbit anti-DDDDK polyclonal antibody. IP reaction : 2μg antibody / 500μl cell lysate](https://www.genetex.com/upload/website/prouct_img/normal/GTX84176/GTX84176_3368_IP_w_23061420_301.webp)
![IHC-P analysis of endometrium tissue using GTX84176 LTA4H antibody [9C5]. Antigen retrieval : Heat-induced epitope retrieval by 10mM citrate buffer, pH6.0, 100oC for 10min. Dilution : 1:50 IHC-P analysis of endometrium tissue using GTX84176 LTA4H antibody [9C5]. Antigen retrieval : Heat-induced epitope retrieval by 10mM citrate buffer, pH6.0, 100oC for 10min. Dilution : 1:50](https://www.genetex.com/upload/website/prouct_img/normal/GTX84176/GTX84176_2430_IHC-P_w_23061420_185.webp)
![IHC-P analysis of prostate tissue using GTX84176 LTA4H antibody [9C5]. Antigen retrieval : Heat-induced epitope retrieval by 10mM citrate buffer, pH6.0, 100oC for 10min. Dilution : 1:50 IHC-P analysis of prostate tissue using GTX84176 LTA4H antibody [9C5]. Antigen retrieval : Heat-induced epitope retrieval by 10mM citrate buffer, pH6.0, 100oC for 10min. Dilution : 1:50](https://www.genetex.com/upload/website/prouct_img/normal/GTX84176/GTX84176_2432_IHC-P_w_23061420_998.webp)
![IHC-P analysis of colon tissue using GTX84176 LTA4H antibody [9C5]. Antigen retrieval : Heat-induced epitope retrieval by 10mM citrate buffer, pH6.0, 100oC for 10min. Dilution : 1:50 IHC-P analysis of colon tissue using GTX84176 LTA4H antibody [9C5]. Antigen retrieval : Heat-induced epitope retrieval by 10mM citrate buffer, pH6.0, 100oC for 10min. Dilution : 1:50](https://www.genetex.com/upload/website/prouct_img/normal/GTX84176/GTX84176_2429_IHC-P_w_23061420_721.webp)
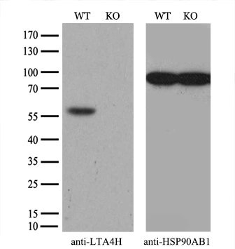
![WB analysis of wild type and LTA4H knock out 293T cell lysate(10μg per lane) using GTX84176 LTA4H antibody [9C5]. Dilution : 1:500 WB analysis of wild type and LTA4H knock out 293T cell lysate(10μg per lane) using GTX84176 LTA4H antibody [9C5]. Dilution : 1:500](https://www.genetex.com/upload/website/prouct_img/normal/GTX84176/GTX84176_4182_20181228_WB_w_23061420_846.webp)
![IHC-P analysis of pancreas tissue using GTX84176 LTA4H antibody [9C5]. Antigen retrieval : Heat-induced epitope retrieval by 10mM citrate buffer, pH6.0, 100oC for 10min. Dilution : 1:50 IHC-P analysis of pancreas tissue using GTX84176 LTA4H antibody [9C5]. Antigen retrieval : Heat-induced epitope retrieval by 10mM citrate buffer, pH6.0, 100oC for 10min. Dilution : 1:50](https://www.genetex.com/upload/website/prouct_img/normal/GTX84176/GTX84176_2431_IHC-P_w_23061420_549.webp)
![WB analysis of various cell lines using GTX84176 LTA4H antibody [9C5]. Loading : 10 ug per lane Dilution : 1:200 WB analysis of various cell lines using GTX84176 LTA4H antibody [9C5]. Loading : 10 ug per lane Dilution : 1:200](https://www.genetex.com/upload/website/prouct_img/normal/GTX84176/GTX84176_3501_WB_w_23061420_894.webp)





![IP analysis of DDDDK tagged LTA4H overexpressed HEK293T lysate using GTX84170 LTA4H antibody [1E9].After extensive wash to remove any non-specific binding, the immuno-precipitated products were analyzed with rabbit anti-DDDDK polyclonal antibody. IP reaction : 2μg antibody / 500μl cell lysate](https://www.genetex.com/upload/website/prouct_img/normal/GTX84170/GTX84170_3365_IP_w_23061420_624.webp)
![WB analysis of various cell lines using GTX84171 LTA4H antibody [8F4]. Loading : 35 ug per lane](https://www.genetex.com/upload/website/prouct_img/normal/GTX84171/GTX84171_4179_WB_w_23061420_619.webp)
![IHC-P analysis of kidney tissue using GTX84173 LTA4H antibody [6B5]. Antigen retrieval : Heat-induced epitope retrieval by 10mM citrate buffer, pH6.0, 100oC for 10min. Dilution : 1:50](https://www.genetex.com/upload/website/prouct_img/normal/GTX84173/GTX84173_2425_IHC-P_w_23061420_518.webp)