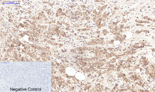
Immunohistochemistry of paraffin-embedded Human breast cancer tissue using LTF Monoclonal Antibody at dilution of 1:200.
LTF Monoclonal Antibody
E-AB-22104
Product group Antibodies
Overview
- SupplierElabscience
- Product NameLTF Monoclonal Antibody
- Delivery Days Customer12
- CertificationResearch Use Only
- Scientific DescriptionThis gene is a member of the transferrin family of genes and its protein product is found in the secondary granules of neutrophils. The protein is a major iron-binding protein in milk and body secretions with an antimicrobial activity, making it an important component of the non-specific immune system. The protein demonstrates a broad spectrum of properties, including regulation of iron homeostasis, host defense against a broad range of microbial infections, anti-inflammatory activity, regulation of cellular growth and differentiation and protection against cancer development and metastasis. Alternatively spliced transcript variants encoding different isoforms have been found for this gene.
- UNSPSC12352203






