![Various tissue extracts (50 μg) were separated by 12% SDS-PAGE, and the membrane was blotted with MC1 Receptor antibody [HL1471] (GTX636945) diluted at 1:1000. The HRP-conjugated anti-rabbit IgG antibody (GTX213110-01) was used to detect the primary antibody. Various tissue extracts (50 μg) were separated by 12% SDS-PAGE, and the membrane was blotted with MC1 Receptor antibody [HL1471] (GTX636945) diluted at 1:1000. The HRP-conjugated anti-rabbit IgG antibody (GTX213110-01) was used to detect the primary antibody.](https://www.genetex.com/upload/website/prouct_img/normal/GTX636945/GTX636945_T-44662_20230616_WB_M_tissue_23062019_114.webp)
Various tissue extracts (50 μg) were separated by 12% SDS-PAGE, and the membrane was blotted with MC1 Receptor antibody [HL1471] (GTX636945) diluted at 1:1000. The HRP-conjugated anti-rabbit IgG antibody (GTX213110-01) was used to detect the primary antibody.
MC1 Receptor antibody [HL1471]
GTX636945
ApplicationsImmunoFluorescence, Western Blot, ImmunoCytoChemistry, ImmunoHistoChemistry, ImmunoHistoChemistry Frozen, ImmunoHistoChemistry Paraffin
Product group Antibodies
ReactivityHuman, Mouse, Rat
TargetMC1R
Overview
- SupplierGeneTex
- Product NameMC1 Receptor antibody [HL1471]
- Delivery Days Customer9
- Application Supplier NoteWB: 1:500-1:3000. IHC-P: 1:100-1:1000. *Optimal dilutions/concentrations should be determined by the researcher.Not tested in other applications.
- ApplicationsImmunoFluorescence, Western Blot, ImmunoCytoChemistry, ImmunoHistoChemistry, ImmunoHistoChemistry Frozen, ImmunoHistoChemistry Paraffin
- CertificationResearch Use Only
- ClonalityMonoclonal
- Clone IDHL1471
- Concentration1 mg/ml
- ConjugateUnconjugated
- Gene ID4157
- Target nameMC1R
- Target descriptionmelanocortin 1 receptor
- Target synonymsCMM5, MSH-R, SHEP2, melanocyte-stimulating hormone receptor, MC1-R, alpha melanocyte stimulating hormone receptor, melanotropin receptor
- HostRabbit
- IsotypeIgG
- Protein IDQ01726
- Protein NameMelanocyte-stimulating hormone receptor
- Scientific DescriptionThis intronless gene encodes the receptor protein for melanocyte-stimulating hormone (MSH). The encoded protein, a seven pass transmembrane G protein coupled receptor, controls melanogenesis. Two types of melanin exist: red pheomelanin and black eumelanin. Gene mutations that lead to a loss in function are associated with increased pheomelanin production, which leads to lighter skin and hair color. Eumelanin is photoprotective but pheomelanin may contribute to UV-induced skin damage by generating free radicals upon UV radiation. Binding of MSH to its receptor activates the receptor and stimulates eumelanin synthesis. This receptor is a major determining factor in sun sensitivity and is a genetic risk factor for melanoma and non-melanoma skin cancer. Over 30 variant alleles have been identified which correlate with skin and hair color, providing evidence that this gene is an important component in determining normal human pigment variation. [provided by RefSeq, Jul 2008]
- ReactivityHuman, Mouse, Rat
- Storage Instruction-20°C or -80°C,2°C to 8°C
- UNSPSC41116161
![MC1 Receptor antibody [HL1471] detects MC1 Receptor protein at cell membrane by immunohistochemical analysis. Sample: Paraffin-embedded A375 xenograft . MC1 Receptor stained by MC1 Receptor antibody [HL1471] (GTX636945) diluted at 1:100. Antigen Retrieval: Citrate buffer, pH 6.0, 15 min MC1 Receptor antibody [HL1471] detects MC1 Receptor protein at cell membrane by immunohistochemical analysis. Sample: Paraffin-embedded A375 xenograft . MC1 Receptor stained by MC1 Receptor antibody [HL1471] (GTX636945) diluted at 1:100. Antigen Retrieval: Citrate buffer, pH 6.0, 15 min](https://www.genetex.com/upload/website/prouct_img/normal/GTX636945/GTX636945_T-44662_20230616_IHC-P_23062019_229.webp)
![Various extracts (50 μg) were separated by 12% SDS-PAGE, and the membrane was blotted with MC1 Receptor antibody [HL1471] (GTX636945) diluted at 1:1000. The HRP-conjugated anti-rabbit IgG antibody (GTX213110-01) was used to detect the primary antibody. Various extracts (50 μg) were separated by 12% SDS-PAGE, and the membrane was blotted with MC1 Receptor antibody [HL1471] (GTX636945) diluted at 1:1000. The HRP-conjugated anti-rabbit IgG antibody (GTX213110-01) was used to detect the primary antibody.](https://www.genetex.com/upload/website/prouct_img/normal/GTX636945/GTX636945_T-44662_20230707_WB_M_R_23071223_132.webp)
![MC1 Receptor antibody [HL1471] detects MC1 Receptor protein at cell membrane and cytoplasm by immunohistochemical analysis. Sample: Paraffin-embedded mouse kidney. MC1 Receptor stained by MC1 Receptor antibody [HL1471] (GTX636945) diluted at 1:400. Antigen Retrieval: Citrate buffer, pH 6.0, 15 min MC1 Receptor antibody [HL1471] detects MC1 Receptor protein at cell membrane and cytoplasm by immunohistochemical analysis. Sample: Paraffin-embedded mouse kidney. MC1 Receptor stained by MC1 Receptor antibody [HL1471] (GTX636945) diluted at 1:400. Antigen Retrieval: Citrate buffer, pH 6.0, 15 min](https://www.genetex.com/upload/website/prouct_img/normal/GTX636945/GTX636945_T-44662_20230707_IHC-P_M_23071822_721.webp)
![MC1 Receptor antibody [HL1471] detects MC1 Receptor protein at cell membrane and cytoplasm by immunohistochemical analysis. Sample: Paraffin-embedded rat kidney. MC1 Receptor stained by MC1 Receptor antibody [HL1471] (GTX636945) diluted at 1:400. Antigen Retrieval: Citrate buffer, pH 6.0, 15 min MC1 Receptor antibody [HL1471] detects MC1 Receptor protein at cell membrane and cytoplasm by immunohistochemical analysis. Sample: Paraffin-embedded rat kidney. MC1 Receptor stained by MC1 Receptor antibody [HL1471] (GTX636945) diluted at 1:400. Antigen Retrieval: Citrate buffer, pH 6.0, 15 min](https://www.genetex.com/upload/website/prouct_img/normal/GTX636945/GTX636945_T-44662_20230707_IHC-P_R_23071822_756.webp)
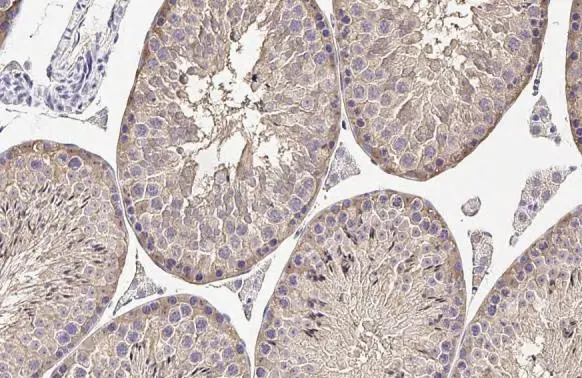
![MC1 Receptor antibody [HL1471] detects MC1 Receptor protein at cell membrane and cytoplasm by immunohistochemical analysis. Sample: Paraffin-embedded rat testis. MC1 Receptor stained by MC1 Receptor antibody [HL1471] (GTX636945) diluted at 1:400. Antigen Retrieval: Citrate buffer, pH 6.0, 15 min MC1 Receptor antibody [HL1471] detects MC1 Receptor protein at cell membrane and cytoplasm by immunohistochemical analysis. Sample: Paraffin-embedded rat testis. MC1 Receptor stained by MC1 Receptor antibody [HL1471] (GTX636945) diluted at 1:400. Antigen Retrieval: Citrate buffer, pH 6.0, 15 min](https://www.genetex.com/upload/website/prouct_img/normal/GTX636945/GTX636945_T-44662_20230707_IHC-P_R_1_23071822_809.webp)
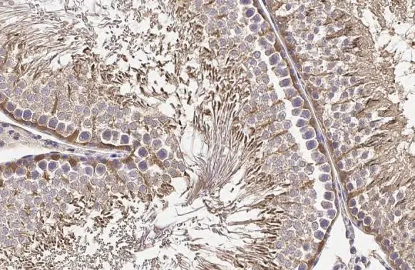
![MC1 Receptor antibody [HL1471] detects MC1 Receptor protein at cell membrane and cytoplasm by immunohistochemical analysis. Sample: Paraffin-embedded mouse testis. MC1 Receptor stained by MC1 Receptor antibody [HL1471] (GTX636945) diluted at 1:400. Antigen Retrieval: Citrate buffer, pH 6.0, 15 min MC1 Receptor antibody [HL1471] detects MC1 Receptor protein at cell membrane and cytoplasm by immunohistochemical analysis. Sample: Paraffin-embedded mouse testis. MC1 Receptor stained by MC1 Receptor antibody [HL1471] (GTX636945) diluted at 1:400. Antigen Retrieval: Citrate buffer, pH 6.0, 15 min](https://www.genetex.com/upload/website/prouct_img/normal/GTX636945/GTX636945_T-44662_20230707_IHC-P_M_1_23071822_648.webp)
![MC1 Receptor antibody [HL1471] detects MC1 Receptor protein at cytoplasm by immunofluorescent analysis. Sample: A375 cells were fixed in ice-cold MeOH for 5 min. Green: MC1 Receptor stained by MC1 Receptor antibody [HL1471] (GTX636945) diluted at 1:500. Blue: Fluoroshield with DAPI (GTX30920). MC1 Receptor antibody [HL1471] detects MC1 Receptor protein at cytoplasm by immunofluorescent analysis. Sample: A375 cells were fixed in ice-cold MeOH for 5 min. Green: MC1 Receptor stained by MC1 Receptor antibody [HL1471] (GTX636945) diluted at 1:500. Blue: Fluoroshield with DAPI (GTX30920).](https://www.genetex.com/upload/website/prouct_img/normal/GTX636945/GTX636945_T-44662_20230714_ICC_IF_23072519_672.webp)
![MC1 Receptor antibody [HL1471] detects MC1 Receptor protein at cell membrane by immunohistochemical analysis. Sample: Frozen-sectioned mouse cerebellum. Green: MC1 Receptor stained by MC1 Receptor antibody [HL1471] (GTX636945) diluted at 1:100. Blue: Fluoroshield with DAPI (GTX30920). Antigen Retrieval: Citrate buffer, pH 6.0, 15 min MC1 Receptor antibody [HL1471] detects MC1 Receptor protein at cell membrane by immunohistochemical analysis. Sample: Frozen-sectioned mouse cerebellum. Green: MC1 Receptor stained by MC1 Receptor antibody [HL1471] (GTX636945) diluted at 1:100. Blue: Fluoroshield with DAPI (GTX30920). Antigen Retrieval: Citrate buffer, pH 6.0, 15 min](https://www.genetex.com/upload/website/prouct_img/normal/GTX636945/GTX636945_T-44662_20240126_IHC-Fr_M_24021917_594.webp)
![Non-transfected (–) and transfected (+) unboiled A375 whole cell extracts (30 μg) were separated by 12% SDS-PAGE, and the membranes were blotted with MC1 Receptor antibody [HL1471] (GTX636945) diluted at 1:5000 and competitor's antibody (Highly Cited Competitor) diluted at 1:5000. The HRP-conjugated anti-rabbit IgG antibody (GTX213110-01) was used to detect the primary antibody. *The competitor is not affiliated with GeneTex and does not endorse this product. Non-transfected (–) and transfected (+) unboiled A375 whole cell extracts (30 μg) were separated by 12% SDS-PAGE, and the membranes were blotted with MC1 Receptor antibody [HL1471] (GTX636945) diluted at 1:5000 and competitor's antibody (Highly Cited Competitor) diluted at 1:5000. The HRP-conjugated anti-rabbit IgG antibody (GTX213110-01) was used to detect the primary antibody. *The competitor is not affiliated with GeneTex and does not endorse this product.](https://www.genetex.com/upload/website/prouct_img/normal/GTX636945/GTX636945_45138_20240617_WB_shRNA_competitor_watermark_24062501_232.webp)






![Mouse tissue extract (50 μg) was separated by 12% SDS-PAGE, and the membrane was blotted with MC1 Receptor antibody [C2C3], C-term (GTX108190) diluted at 1:4000. The HRP-conjugated anti-rabbit IgG antibody (GTX213110-01) was used to detect the primary antibody.](https://www.genetex.com/upload/website/prouct_img/normal/GTX108190/GTX108190_44538_20220107_WB_M_cerebellum_22071401_389.webp)
![Various whole cell extracts (30 μg) were separated by 12% SDS-PAGE, and the membrane was blotted with MC1 Receptor antibody [HL1470] (GTX636944) diluted at 1:100000. The HRP-conjugated anti-rabbit IgG antibody (GTX213110-01) was used to detect the primary antibody. Corresponding RNA expression data for the same cell lines are based on Human Protein Atlas program.](https://www.genetex.com/upload/website/prouct_img/normal/GTX636944/GTX636944_44711_20230317_WB_TPM_watermark_23032022_421.webp)