
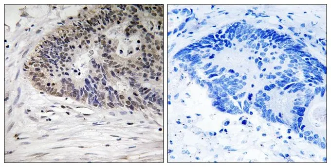
IHC-P analysis of human colon carcinoma tissue using GTX55445 MDMX (phospho Ser367) antibody. Left : Primary antibody Right : Primary antibody pre-incubated with the antigen specific peptide
MDMX (phospho Ser367) antibody
GTX55445
ApplicationsWestern Blot, ImmunoHistoChemistry, ImmunoHistoChemistry Paraffin
Product group Antibodies
ReactivityHuman
TargetMDM4
Overview
- SupplierGeneTex
- Product NameMDMX (phospho Ser367) antibody
- Delivery Days Customer9
- Application Supplier NoteWB: 1:500-1:3000. IHC-P: 1:50-1:100. *Optimal dilutions/concentrations should be determined by the researcher.Not tested in other applications.
- ApplicationsWestern Blot, ImmunoHistoChemistry, ImmunoHistoChemistry Paraffin
- CertificationResearch Use Only
- ClonalityPolyclonal
- Concentration1 mg/ml
- ConjugateUnconjugated
- Gene ID4194
- Target nameMDM4
- Target descriptionMDM4 regulator of p53
- Target synonymsBMFS6, HDMX, MDMX, MRP1, protein Mdm4, MDM4, p53 regulator, MDM4-related protein 1, Mdm4 p53 binding protein homolog, double minute 4, human homolog of; p53-binding protein, mdm2-like p53-binding protein, protein Mdmx
- HostRabbit
- IsotypeIgG
- Protein IDO15151
- Protein NameProtein Mdm4
- Scientific DescriptionThis gene encodes a nuclear protein that contains a p53 binding domain at the N-terminus and a RING finger domain at the C-terminus, and shows structural similarity to p53-binding protein MDM2. Both proteins bind the p53 tumor suppressor protein and inhibit its activity, and have been shown to be overexpressed in a variety of human cancers. However, unlike MDM2 which degrades p53, this protein inhibits p53 by binding its transcriptional activation domain. This protein also interacts with MDM2 protein via the RING finger domain, and inhibits the latters degradation. So this protein can reverse MDM2-targeted degradation of p53, while maintaining suppression of p53 transactivation and apoptotic functions. Alternatively spliced transcript variants encoding different isoforms have been noted for this gene. [provided by RefSeq, Feb 2011]
- ReactivityHuman
- Storage Instruction-20°C or -80°C,2°C to 8°C
- UNSPSC12352203




![WB analysis of MCF cells with DNA damage using GTX00677 MDMX (phospho Ser367) antibody [#15]. MCF cells were preincubated with the proteasome inhibitor MG132 (20 microM) followed by exposed to DNA damaging agents adriamycin (3 microM) or etoposide (20 microM). The cell lysates were used for immunoprecipitation with anti-MdmX antibody and then analyzed by Western blotting.Induction of S367 phosphorylation after DNA damage is associated with increased binding of 14-3-3 to MdmX and accelerated MdmX degradation.](https://www.genetex.com/upload/website/prouct_img/normal/GTX00677/GTX00677_20191104_WB_w_23053121_471.webp)

![ICC/IF analysis of HeLa (left) and L-02 (right) cells using GTX83335 MDMX antibody [2D10F4]. Green : MDMX Red: Actin filaments](https://www.genetex.com/upload/website/prouct_img/normal/GTX83335/GTX83335_20170912_ICCIF_w_23061322_752.webp)



