
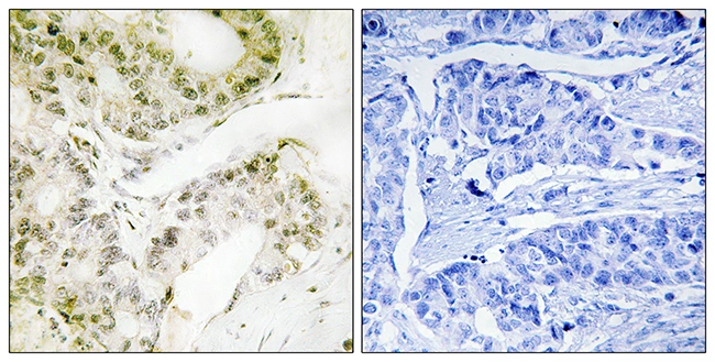
IHC-P analysis of human lung carcinoma tissue using GTX87401 MED13 antibody. The picture on the right is blocked with the synthesized peptide.
MED13 antibody
GTX87401
ApplicationsImmunoHistoChemistry, ImmunoHistoChemistry Paraffin
Product group Antibodies
ReactivityHuman
TargetMED13
Overview
- SupplierGeneTex
- Product NameMED13 antibody
- Delivery Days Customer9
- Application Supplier NoteIHC-P: 1:50~1:100. *Optimal dilutions/concentrations should be determined by the researcher.Not tested in other applications.
- ApplicationsImmunoHistoChemistry, ImmunoHistoChemistry Paraffin
- CertificationResearch Use Only
- ClonalityPolyclonal
- ConjugateUnconjugated
- Gene ID9969
- Target nameMED13
- Target descriptionmediator complex subunit 13
- Target synonymsARC250, DRIP250, HSPC221, MRD61, THRAP1, TRAP240, mediator of RNA polymerase II transcription subunit 13, activator-recruited cofactor 250 kDa component, mediator of RNA polymerase II transcription, subunit 13 homolog, thyroid hormone receptor-associated protein 1, thyroid hormone receptor-associated protein complex 240 kDa component, thyroid hormone receptor-associated protein complex component TRAP240, thyroid hormone receptor-associated protein, 240 kDa subunit, vitamin D3 receptor-interacting protein complex component DRIP250
- HostRabbit
- IsotypeIgG
- Protein IDQ9UHV7
- Protein NameMediator of RNA polymerase II transcription subunit 13
- Scientific DescriptionThis gene encodes a component of the mediator complex (also known as TRAP, SMCC, DRIP, or ARC), a transcriptional coactivator complex thought to be required for the expression of almost all genes. The mediator complex is recruited by transcriptional activators or nuclear receptors to induce gene expression, possibly by interacting with RNA polymerase II and promoting the formation of a transcriptional pre-initiation complex. The product of this gene is proposed to form a sub-complex with MED12, cyclin C, and CDK8 that can negatively regulate transactivation by mediator. [provided by RefSeq, Jul 2008]
- ReactivityHuman
- Storage Instruction-20°C or -80°C,2°C to 8°C
- UNSPSC12352203



