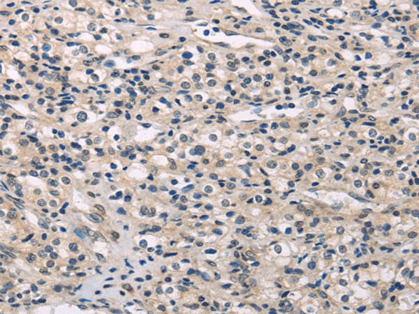
Immunohistochemistry of paraffin-embedded Human prostate cancer using MED28 Polyclonal Antibody at dilution of 1/30
MED28 Polyclonal Antibody
E-AB-17141
Product group Antibodies
Overview
- SupplierElabscience
- Product NameMED28 Polyclonal Antibody
- Delivery Days Customer12
- CertificationResearch Use Only
- Scientific DescriptionMed28 (mediator complex subunit 28), also known as EG1 (endothelial-derived protein 1), magicin (merlin and Grb2-interacting cytoskeletal protein) or tumor angiogenesis marker EG-1, is a 178 amino acid subunit of the Mediator complex that localizes to both nucleus and cytoplasm.
- UNSPSC12352203







