
ICC/IF analysis of U2OS cells using GTX55715 MVP/LRP antibody. Blue : DAPI Dilution : 1:100
MVP/LRP antibody
GTX55715
ApplicationsImmunoFluorescence, Western Blot, ImmunoCytoChemistry, ImmunoHistoChemistry, ImmunoHistoChemistry Paraffin
Product group Antibodies
ReactivityHuman
TargetMVP
Overview
- SupplierGeneTex
- Product NameMVP/LRP antibody
- Delivery Days Customer9
- Application Supplier NoteWB: 1:500 - 1:2000. ICC/IF: 1:50 - 1:100. IHC-P: 1:50 - 1:200. *Optimal dilutions/concentrations should be determined by the researcher.Not tested in other applications.
- ApplicationsImmunoFluorescence, Western Blot, ImmunoCytoChemistry, ImmunoHistoChemistry, ImmunoHistoChemistry Paraffin
- CertificationResearch Use Only
- ClonalityPolyclonal
- ConjugateUnconjugated
- Gene ID9961
- Target nameMVP
- Target descriptionmajor vault protein
- Target synonymsLRP, VAULT1, major vault protein, lung resistance-related protein, testicular secretory protein Li 30
- HostRabbit
- IsotypeIgG
- Protein IDQ14764
- Protein NameMajor vault protein
- Scientific DescriptionThis gene encodes the major component of the vault complex. Vaults are multi-subunit ribonucleoprotein structures that may be involved in nucleo-cytoplasmic transport. The encoded protein may play a role in multiple cellular processes by regulating the MAP kinase, JAK/STAT and phosphoinositide 3-kinase/Akt signaling pathways. The encoded protein also plays a role in multidrug resistance, and expression of this gene may be a prognostic marker for several types of cancer. Alternatively spliced transcript variants have been observed for this gene. [provided by RefSeq, May 2012]
- ReactivityHuman
- Storage Instruction-20°C or -80°C,2°C to 8°C
- UNSPSC12352203








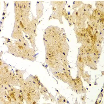
![IHC-P analysis of human breast carcinoma section using GTX02682 MVP/LRP antibody [VP2897R].](https://www.genetex.com/upload/website/prouct_img/normal/GTX02682/GTX02682_20210319_IHC-P_w_23053122_600.webp)
