![Various whole cell extracts (30 μg) were separated by 12% SDS-PAGE, and the membrane was blotted with NQO1 antibody [C2C3], C-term (GTX100235) diluted at 1:1000. The HRP-conjugated anti-rabbit IgG antibody (GTX213110-01) was used to detect the primary antibody. Various whole cell extracts (30 μg) were separated by 12% SDS-PAGE, and the membrane was blotted with NQO1 antibody [C2C3], C-term (GTX100235) diluted at 1:1000. The HRP-conjugated anti-rabbit IgG antibody (GTX213110-01) was used to detect the primary antibody.](https://www.genetex.com/upload/website/prouct_img/normal/GTX100235/GTX100235_43146_20180316_WB_22080923_603.webp)
Various whole cell extracts (30 μg) were separated by 12% SDS-PAGE, and the membrane was blotted with NQO1 antibody [C2C3], C-term (GTX100235) diluted at 1:1000. The HRP-conjugated anti-rabbit IgG antibody (GTX213110-01) was used to detect the primary antibody.
NQO1 antibody [C2C3], C-term
GTX100235
ApplicationsImmunoFluorescence, Western Blot, ImmunoCytoChemistry, ImmunoHistoChemistry, ImmunoHistoChemistry Paraffin
Product group Antibodies
ReactivityHuman, Monkey, Mouse, Rat
TargetNQO1
Overview
- SupplierGeneTex
- Product NameNQO1 antibody [C2C3], C-term
- Delivery Days Customer9
- Application Supplier NoteWB: 1:500-1:3000. ICC/IF: 1:100-1:1000. IHC-P: 1:100-1:1000. *Optimal dilutions/concentrations should be determined by the researcher.Not tested in other applications.
- ApplicationsImmunoFluorescence, Western Blot, ImmunoCytoChemistry, ImmunoHistoChemistry, ImmunoHistoChemistry Paraffin
- CertificationResearch Use Only
- ClonalityPolyclonal
- Concentration0.61 mg/ml
- ConjugateUnconjugated
- Gene ID1728
- Target nameNQO1
- Target descriptionNAD(P)H quinone dehydrogenase 1
- Target synonymsDHQU, DIA4, DTD, NMOR1, NMORI, QR1, NAD(P)H dehydrogenase [quinone] 1, DT-diaphorase, NAD(P)H dehydrogenase, quinone 1, NAD(P)H-quinone oxidoreductase, NAD(P)H:Quinone acceptor oxidoreductase type 1, NAD(P)H:menadione oxidoreductase 1, NAD(P)H:quinone oxidoreductase 1, NAD(P)H:quinone oxireductase, azoreductase, diaphorase (NADH/NADPH) (cytochrome b-5 reductase), diaphorase-4, dioxin-inducible 1, menadione reductase, phylloquinone reductase, quinone reductase 1
- HostRabbit
- IsotypeIgG
- Protein IDP15559
- Protein NameNAD(P)H dehydrogenase [quinone] 1
- Scientific DescriptionThis gene is a member of the NAD(P)H dehydrogenase (quinone) family and encodes a cytoplasmic 2-electron reductase. This FAD-binding protein forms homodimers and reduces quinones to hydroquinones. This proteins enzymatic activity prevents the one electron reduction of quinones that results in the production of radical species. Mutations in this gene have been associated with tardive dyskinesia (TD), an increased risk of hematotoxicity after exposure to benzene, and susceptibility to various forms of cancer. Altered expression of this protein has been seen in many tumors and is also associated with Alzheimers disease (AD). Alternate transcriptional splice variants, encoding different isoforms, have been characterized. [provided by RefSeq]
- ReactivityHuman, Monkey, Mouse, Rat
- Storage Instruction-20°C or -80°C,2°C to 8°C
- UNSPSC41116161

![NQO1 antibody [C2C3], C-term detects NQO1 protein at cytoplasm in human rectal carcinoma by immunohistochemical analysis. Sample: Paraffin-embedded human rectal carcinoma. NQO1 antibody [C2C3], C-term (GTX100235) diluted at 1:500.
Antigen Retrieval: Trilogy? (EDTA based, pH 8.0) buffer, 15min NQO1 antibody [C2C3], C-term detects NQO1 protein at cytoplasm in human rectal carcinoma by immunohistochemical analysis. Sample: Paraffin-embedded human rectal carcinoma. NQO1 antibody [C2C3], C-term (GTX100235) diluted at 1:500.
Antigen Retrieval: Trilogy? (EDTA based, pH 8.0) buffer, 15min](https://www.genetex.com/upload/website/prouct_img/normal/GTX100235/GTX100235_40073_20160125_IHC-P_w_23053123_934.webp)
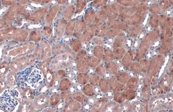
![NQO1 antibody [C2C3], C-term detects NQO1 protein at cytoplasm by immunohistochemical analysis. Sample: Paraffin-embedded mouse kidney. NQO1 stained by NQO1 antibody [C2C3], C-term (GTX100235) diluted at 1:500. Antigen Retrieval: Citrate buffer, pH 6.0, 15 min NQO1 antibody [C2C3], C-term detects NQO1 protein at cytoplasm by immunohistochemical analysis. Sample: Paraffin-embedded mouse kidney. NQO1 stained by NQO1 antibody [C2C3], C-term (GTX100235) diluted at 1:500. Antigen Retrieval: Citrate buffer, pH 6.0, 15 min](https://www.genetex.com/upload/website/prouct_img/normal/GTX100235/GTX100235_43146_20200122_IHC-P_M_w_23053123_298.webp)
![NQO1 antibody [C2C3], C-term detects NQO1 protein by western blot analysis. A. 50 μg mouse heart lysate/extract 12% SDS-PAGE NQO1 antibody [C2C3], C-term (GTX100235) dilution: 1:500 The HRP-conjugated anti-rabbit IgG antibody (GTX213110-01) was used to detect the primary antibody. NQO1 antibody [C2C3], C-term detects NQO1 protein by western blot analysis. A. 50 μg mouse heart lysate/extract 12% SDS-PAGE NQO1 antibody [C2C3], C-term (GTX100235) dilution: 1:500 The HRP-conjugated anti-rabbit IgG antibody (GTX213110-01) was used to detect the primary antibody.](https://www.genetex.com/upload/website/prouct_img/normal/GTX100235/GTX100235_40073_WB_M_heart_w_23053123_325.webp)
![NQO1 antibody [C2C3], C-term detects NQO1 protein by western blot analysis. A. 50 μg rat heart lysate/extract 12% SDS-PAGE NQO1 antibody [C2C3], C-term (GTX100235) dilution: 1:500 The HRP-conjugated anti-rabbit IgG antibody (GTX213110-01) was used to detect the primary antibody. NQO1 antibody [C2C3], C-term detects NQO1 protein by western blot analysis. A. 50 μg rat heart lysate/extract 12% SDS-PAGE NQO1 antibody [C2C3], C-term (GTX100235) dilution: 1:500 The HRP-conjugated anti-rabbit IgG antibody (GTX213110-01) was used to detect the primary antibody.](https://www.genetex.com/upload/website/prouct_img/normal/GTX100235/GTX100235_40073_WB_R_heart_w_23053123_400.webp)






![IHC-P analysis of human breast carcinoma tissue using GTX30626 NQO1 antibody [A180].](https://www.genetex.com/upload/website/prouct_img/normal/GTX30626/GTX30626_562_IHC-P_w_23060722_691.webp)

