
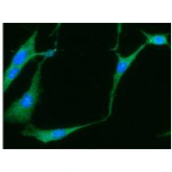
ICC/IF analysis of U87-MG cells using GTX57594 NSE antibody. Blue: DAPI Green: Primary antibody Dilution: 1:100
NSE antibody [AT17D10]
GTX57594
ApplicationsImmunoFluorescence, Western Blot, ImmunoCytoChemistry
Product group Antibodies
ReactivityHuman, Mouse
TargetENO2
Overview
- SupplierGeneTex
- Product NameNSE antibody [AT17D10]
- Delivery Days Customer9
- Application Supplier NoteWB: 1:500-1:5000. *Optimal dilutions/concentrations should be determined by the researcher.Not tested in other applications.
- ApplicationsImmunoFluorescence, Western Blot, ImmunoCytoChemistry
- CertificationResearch Use Only
- ClonalityMonoclonal
- Clone IDAT17D10
- Concentration1 mg/ml
- ConjugateUnconjugated
- Gene ID2026
- Target nameENO2
- Target descriptionenolase 2
- Target synonymsHEL-S-279, NSE, gamma-enolase, 2-phospho-D-glycerate hydro-lyase, 2-phospho-D-glycerate hydrolyase, enolase 2 (gamma, neuronal), epididymis secretory protein Li 279, neural enolase, neuron specific gamma enolase, neuron-specific enolase, neuronal enriched enolase, neurone-specific enolase
- HostMouse
- IsotypeIgG2b
- Protein IDP09104
- Protein NameGamma-enolase
- Scientific DescriptionThis gene encodes one of the three enolase isoenzymes found in mammals. This isoenzyme, a homodimer, is found in mature neurons and cells of neuronal origin. A switch from alpha enolase to gamma enolase occurs in neural tissue during development in rats and primates. [provided by RefSeq, Jul 2008]
- ReactivityHuman, Mouse
- Storage Instruction-20°C or -80°C,2°C to 8°C
- UNSPSC12352203







![ELISA analysis of antigen using GTX60625 NSE antibody [5D3]. Black : Control antigen 100ng Purple : Antigen 10ng Blue : Antigen 50ng Red : Antigen 100ng](https://www.genetex.com/upload/website/prouct_img/normal/GTX60625/GTX60625_20170912_ELISA_w_23061123_381.webp)