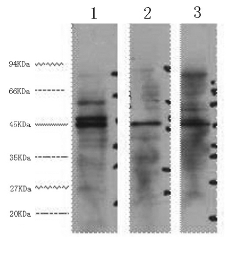
Western Blot analysis of 1) Hela, 2) Jurkat, 3) 293T cells using ENO2 Monoclonal Antibody at dilution of 1:3000.
NSE Monoclonal Antibody
E-AB-22029
Product group Antibodies
Overview
- SupplierElabscience
- Product NameNSE Monoclonal Antibody
- Delivery Days Customer12
- CertificationResearch Use Only
- Scientific DescriptionHas neurotrophic and neuroprotective properties on a broad spectrum of central nervous system (CNS) neurons. Binds, in a calcium-dependent manner, to cultured neocortical neurons and promotes cell survival
- UNSPSC12352203




