
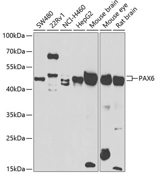
WB analysis of various sample lysates using GTX55739 PAX6 antibody. The signal was developed with ECL plus-Enhanced. Dilution : 1:1000 Loading : 25microg per lane
PAX6 antibody
GTX55739
ApplicationsImmunoFluorescence, Western Blot, ImmunoCytoChemistry
Product group Antibodies
TargetPAX6
Overview
- SupplierGeneTex
- Product NamePAX6 antibody
- Delivery Days Customer9
- Application Supplier NoteWB: 1:500 - 1:2000. ICC/IF: 1:50 - 1:200. *Optimal dilutions/concentrations should be determined by the researcher.Not tested in other applications.
- ApplicationsImmunoFluorescence, Western Blot, ImmunoCytoChemistry
- CertificationResearch Use Only
- ClonalityPolyclonal
- ConjugateUnconjugated
- Gene ID5080
- Target namePAX6
- Target descriptionpaired box 6
- Target synonymsAN; AN1; AN2; Aniridia 1; Aniridia 2; aniridia type II protein; ASGD5; D11S812E; FVH1; MGDA; oculorhombin; paired box homeotic gene-6; paired box protein Pax-6; WAGR
- HostRabbit
- IsotypeIgG
- Protein IDP26367
- Protein NamePaired box protein Pax-6
- Scientific DescriptionThis gene encodes a homeobox and paired domain-containing protein that binds DNA and functions as a regulator of transcription. Activity of this protein is key in the development of neural tissues, particularly the eye. This gene is regulated by multiple enhancers located up to hundreds of kilobases distant from this locus. Mutations in this gene or in the enhancer regions can cause ocular disorders such as aniridia and Peters anomaly. Use of alternate promoters and alternative splicing result in multiple transcript variants encoding different isoforms. [provided by RefSeq, Jul 2015]
- Storage Instruction-20°C or -80°C,2°C to 8°C
- UNSPSC12352203



![FACS analysis of 3T3-L1 cells using GTX82816 PAX6 antibody [1C8]. Green : PAX6 Purple : negative control](https://www.genetex.com/upload/website/prouct_img/normal/GTX82816/GTX82816_20170912_FACS_w_23061322_642.webp)

![IHC-P analysis of human gastric carcinoma tissue using GTX34956 PAX6 antibody [PAX6/1166].](https://www.genetex.com/upload/website/prouct_img/normal/GTX34956/GTX34956_20200115_IHC-P_593_w_23060801_651.webp)
![IHC-P analysis of human gastric carcinoma tissue using GTX34957 PAX6 antibody [SPM612].](https://www.genetex.com/upload/website/prouct_img/normal/GTX34957/GTX34957_20200115_IHC-P_594_w_23060801_795.webp)
