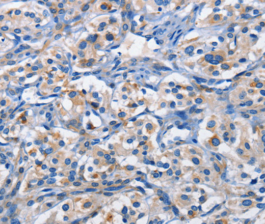
Immunohistochemistry of paraffin-embedded Human thyroid cancer tissue using PIM1 Polyclonal Antibody at dilution 1:50
PIM1 Polyclonal Antibody
E-AB-14694
ApplicationsImmunoHistoChemistry
Product group Antibodies
TargetPIM1
Overview
- SupplierElabscience
- Product NamePIM1 Polyclonal Antibody
- Delivery Days Customer12
- ApplicationsImmunoHistoChemistry
- Applications SupplierELISA IHC
- CertificationResearch Use Only
- ClonalityPolyclonal
- Concentration0.4 mg/ml
- ConjugateUnconjugated
- Gene ID5292
- Target namePIM1
- Target descriptionPim-1 proto-oncogene, serine/threonine kinase
- Target synonymsPIM, serine/threonine-protein kinase pim-1, Oncogene PIM1, pim-1 oncogene (proviral integration site 1), proto-oncogene serine/threonine-protein kinase pim-1
- HostRabbit
- IsotypeIgG
- Protein IDP11309
- Protein NameSerine/threonine-protein kinase pim-1
- Scientific DescriptionThe protein encoded by this gene belongs to the Ser/Thr protein kinase family, and PIM subfamily. This gene is expressed primarily in B-lymphoid and myeloid cell lines, and is overexpressed in hematopoietic malignancies and in prostate cancer. It plays a role in signal transduction in blood cells, contributing to both cell proliferation and survival, and thus provides a selective advantage in tumorigenesis. Both the human and orthologous mouse genes have been reported to encode two isoforms (with preferential cellular localization) resulting from the use of alternative in-frame translation initiation codons, the upstream non-AUG (CUG) and downstream AUG codons.
- Storage Instruction-20°C
- UNSPSC41116161




![IHC-P analysis of mouse brain tissue section using GTX00954 PIM1 antibody [GT1192]. Dilution : 1:100](https://www.genetex.com/upload/website/prouct_img/normal/GTX00954/GTX00954_20200508_IHC-P_w_23053121_496.webp)