
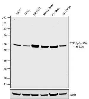
WB analysis of 20 μg of MCF-7 (Lane 1), HeLa (Lane 2), NIH/3T3 (Lane 3), Mouse Brain (Lane 4), Rat Brain (Lane 5) and SHSY5Y (Lane 6) cell lysate using GTX60929 PTEN (phospho Ser370) antibody. Dilution : 1:1000
PTEN (phospho Ser370) antibody
GTX60929
ApplicationsFlow Cytometry, ImmunoFluorescence, Western Blot, ImmunoCytoChemistry, ImmunoHistoChemistry, ImmunoHistoChemistry Paraffin
Product group Antibodies
ReactivityHuman, Mouse, Rat
TargetPTEN
Overview
- SupplierGeneTex
- Product NamePTEN (phospho Ser370) antibody
- Delivery Days Customer9
- Application Supplier NoteWB: 1:1000. ICC/IF: 1:250. IHC-P: 1:10-1:100. FACS: 1:20. *Optimal dilutions/concentrations should be determined by the researcher.Not tested in other applications.
- ApplicationsFlow Cytometry, ImmunoFluorescence, Western Blot, ImmunoCytoChemistry, ImmunoHistoChemistry, ImmunoHistoChemistry Paraffin
- CertificationResearch Use Only
- ClonalityPolyclonal
- ConjugateUnconjugated
- Gene ID5728
- Target namePTEN
- Target descriptionphosphatase and tensin homolog
- Target synonyms10q23del, BZS, CWS1, DEC, GLM2, MHAM, MMAC1, PTEN1, PTENbeta, PTENgama, TEP1, phosphatidylinositol 3,4,5-trisphosphate 3-phosphatase and dual-specificity protein phosphatase PTEN, MMAC1 phosphatase and tensin homolog deleted on chromosome 10, PTEN variant PTEN-K267Rfs*9, PTEN variant PTEN-L247*, PTEN variant PTEN-R234Afs*11, PTENepsilon, inositol polyphosphate 3-phosphatase, mitochondrial PTENalpha, mitochondrial phosphatase and tensin protein alpha, mutated in multiple advanced cancers 1, phosphatase and tensin-like protein, phosphatidylinositol-3,4,5-trisphosphate 3-phosphatase and dual-specificity protein phosphatase PTEN, protein tyrosine phosphatase
- HostRabbit
- IsotypeIgG
- Protein IDP60484
- Protein NamePhosphatidylinositol 3,4,5-trisphosphate 3-phosphatase and dual-specificity protein phosphatase PTEN
- Scientific DescriptionThis gene was identified as a tumor suppressor that is mutated in a large number of cancers at high frequency. The protein encoded by this gene is a phosphatidylinositol-3,4,5-trisphosphate 3-phosphatase. It contains a tensin like domain as well as a catalytic domain similar to that of the dual specificity protein tyrosine phosphatases. Unlike most of the protein tyrosine phosphatases, this protein preferentially dephosphorylates phosphoinositide substrates. It negatively regulates intracellular levels of phosphatidylinositol-3,4,5-trisphosphate in cells and functions as a tumor suppressor by negatively regulating AKT/PKB signaling pathway. The use of a non-canonical (CUG) upstream initiation site produces a longer isoform that initiates translation with a leucine, and is thought to be preferentially associated with the mitochondrial inner membrane. This longer isoform may help regulate energy metabolism in the mitochondria. A pseudogene of this gene is found on chromosome 9. Alternative splicing and the use of multiple translation start codons results in multiple transcript variants encoding different isoforms. [provided by RefSeq, Feb 2015]
- ReactivityHuman, Mouse, Rat
- Storage Instruction-20°C or -80°C,2°C to 8°C
- UNSPSC12352203












