RAP1GAP Antibody (YA1826, Rabbit)
HY-P82081
TargetRAP1GAP
Product group Antibodies
Overview
- SupplierMedChem Express
- Product NameRAP1GAP Antibody (YA1826, Rabbit)
- Delivery Days Customer5
- CertificationResearch Use Only
- ClonalityMonoclonal
- Gene ID5909
- Target nameRAP1GAP
- Target descriptionRAP1 GTPase activating protein
- Target synonymsRAP1GA1, RAP1GAP1, RAP1GAPII, RAPGAP, rap1 GTPase-activating protein 1
- HostRabbit
- IsotypeIgG
- Scientific DescriptionRAP1GAP Antibody (YA1826) is a rabbit-derived non-conjugated IgG antibody (Clone NO.: YA1826), targeting RAP1GAP, with a predicted molecular weight of 73 kDa (observed band size: 95 kDa). RAP1GAP Antibody (YA1826) can be used for WB, IHC-F, IHC-P, ICC/IF, IP experiment in human, mouse, rat background.
- Storage Instruction-20°C
- UNSPSC41116161






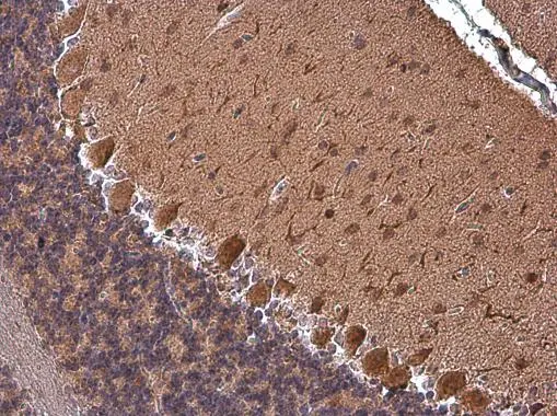
![Rap1GAP antibody [N2C2], Internal detects Rap1GAP protein at cytoplasm in mouse brain by immunohistochemical analysis. Sample: Paraffin-embedded mouse brain. Rap1GAP antibody [N2C2], Internal (GTX113821) diluted at 1:500.
Antigen Retrieval: Citrate buffer, pH 6.0, 15 min](https://www.genetex.com/upload/website/prouct_img/normal/GTX113821/GTX113821_40150_20170818_IHC-P_M_w_23060501_176.webp)