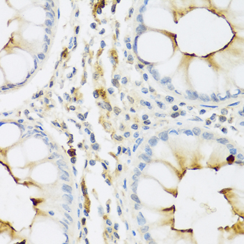
Immunohistochemistry of paraffin-embedded Human colon using RNASE3 Polyclonal Antibody at dilution of 1:100 (40x lens).
RNASE3 Polyclonal Antibody
E-AB-62895
Product group Antibodies
Overview
- SupplierElabscience
- Product NameRNASE3 Polyclonal Antibody
- Delivery Days Customer12
- CertificationResearch Use Only
- Scientific DescriptionThe protein encoded by this gene belongs to the pancreatic ribonuclease family, a subset of the ribonuclease A superfamily. The protein exhibits antimicrobial activity against pathogenic bacteria
- UNSPSC12352203





