![Whole zebrafish extract (30 μg) was separated by 10% SDS-PAGE, and the membrane was blotted with RRM2 antibody [HL1235] (GTX636634) diluted at 1:1000. The HRP-conjugated anti-rabbit IgG antibody (GTX213110-01) was used to detect the primary antibody. Whole zebrafish extract (30 μg) was separated by 10% SDS-PAGE, and the membrane was blotted with RRM2 antibody [HL1235] (GTX636634) diluted at 1:1000. The HRP-conjugated anti-rabbit IgG antibody (GTX213110-01) was used to detect the primary antibody.](https://www.genetex.com/upload/website/prouct_img/normal/GTX636634/GTX636634_44564_20221216_WB_Z_22122018_344.webp)
Whole zebrafish extract (30 μg) was separated by 10% SDS-PAGE, and the membrane was blotted with RRM2 antibody [HL1235] (GTX636634) diluted at 1:1000. The HRP-conjugated anti-rabbit IgG antibody (GTX213110-01) was used to detect the primary antibody.
RRM2 antibody [HL1235]
GTX636634
ApplicationsImmunoFluorescence, Western Blot, ImmunoCytoChemistry, ImmunoHistoChemistry, ImmunoHistoChemistry Paraffin
Product group Antibodies
ReactivityHuman, Mouse, Zebra Fish
TargetRRM2
Overview
- SupplierGeneTex
- Product NameRRM2 antibody [HL1235]
- Delivery Days Customer9
- Application Supplier NoteWB: 1:500-1:3000. *Optimal dilutions/concentrations should be determined by the researcher.Not tested in other applications.
- ApplicationsImmunoFluorescence, Western Blot, ImmunoCytoChemistry, ImmunoHistoChemistry, ImmunoHistoChemistry Paraffin
- CertificationResearch Use Only
- ClonalityMonoclonal
- Clone IDHL1235
- Concentration1 mg/ml
- ConjugateUnconjugated
- Gene ID6241
- Target nameRRM2
- Target descriptionribonucleotide reductase regulatory subunit M2
- Target synonymsC2orf48, R2, RR2, RR2M, ribonucleoside-diphosphate reductase subunit M2, ribonucleotide reductase M2 polypeptide, ribonucleotide reductase small chain, ribonucleotide reductase small subunit, uncharacterized protein C2orf48
- HostRabbit
- IsotypeIgG
- Protein IDP31350
- Protein NameRibonucleoside-diphosphate reductase subunit M2
- Scientific DescriptionThis gene encodes one of two non-identical subunits for ribonucleotide reductase. This reductase catalyzes the formation of deoxyribonucleotides from ribonucleotides. Synthesis of the encoded protein (M2) is regulated in a cell-cycle dependent fashion. Transcription from this gene can initiate from alternative promoters, which results in two isoforms that differ in the lengths of their N-termini. Related pseudogenes have been identified on chromosomes 1 and X. [provided by RefSeq, Sep 2009]
- ReactivityHuman, Mouse, Zebra Fish
- Storage Instruction-20°C or -80°C,2°C to 8°C
- UNSPSC41116161
![RRM2 antibody [HL1235] detects RRM2 protein on whole mount zebrafish by immunohistochemical analysis. Sample: Paraformaldehyde-fixed 2 days-post-fertilization zebrafish embryo. Green: RRM2 stained by RRM2 antibody [HL1235] (GTX636634) diluted at 1:100. Antigen Retrieval: Tris-HCl buffer, pH 9.0, 20 min at 70oC RRM2 antibody [HL1235] detects RRM2 protein on whole mount zebrafish by immunohistochemical analysis. Sample: Paraformaldehyde-fixed 2 days-post-fertilization zebrafish embryo. Green: RRM2 stained by RRM2 antibody [HL1235] (GTX636634) diluted at 1:100. Antigen Retrieval: Tris-HCl buffer, pH 9.0, 20 min at 70oC](https://www.genetex.com/upload/website/prouct_img/normal/GTX636634/GTX636634_44564_20230203_IHC-Wm_Z_23041719_652.webp)
![Various whole cell extracts (30 μg) were separated by 10% SDS-PAGE, and the membrane was blotted with RRM2 antibody [HL1235] (GTX636634) diluted at 1:1000. The HRP-conjugated anti-rabbit IgG antibody (GTX213110-01) was used to detect the primary antibody. Corresponding RNA expression data for the same cell lines are based on Human Protein Atlas program. Various whole cell extracts (30 μg) were separated by 10% SDS-PAGE, and the membrane was blotted with RRM2 antibody [HL1235] (GTX636634) diluted at 1:1000. The HRP-conjugated anti-rabbit IgG antibody (GTX213110-01) was used to detect the primary antibody. Corresponding RNA expression data for the same cell lines are based on Human Protein Atlas program.](https://www.genetex.com/upload/website/prouct_img/normal/GTX636634/GTX636634_44564_20220211_WB_TPM_watermark_w_23061202_426.webp)
![RRM2 antibody [HL1235] detects RRM2 protein at cytoplasm by immunofluorescent analysis. Sample: HeLa cells were fixed in 4% paraformaldehyde at RT for 15 min. Green: RRM2 stained by RRM2 antibody [HL1235] (GTX636634) diluted at 1:500. Blue: Fluoroshield with DAPI (GTX30920). RRM2 antibody [HL1235] detects RRM2 protein at cytoplasm by immunofluorescent analysis. Sample: HeLa cells were fixed in 4% paraformaldehyde at RT for 15 min. Green: RRM2 stained by RRM2 antibody [HL1235] (GTX636634) diluted at 1:500. Blue: Fluoroshield with DAPI (GTX30920).](https://www.genetex.com/upload/website/prouct_img/normal/GTX636634/GTX636634_44564_20220325_ICC_IF_w_23061202_546.webp)
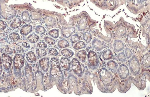
![RRM2 antibody [HL1235] detects RRM2 protein at cytoplasm by immunohistochemical analysis. Sample: Paraffin-embedded mouse colon. RRM2 stained by RRM2 antibody [HL1235] (GTX636634) diluted at 1:100. Antigen Retrieval: Citrate buffer, pH 6.0, 15 min RRM2 antibody [HL1235] detects RRM2 protein at cytoplasm by immunohistochemical analysis. Sample: Paraffin-embedded mouse colon. RRM2 stained by RRM2 antibody [HL1235] (GTX636634) diluted at 1:100. Antigen Retrieval: Citrate buffer, pH 6.0, 15 min](https://www.genetex.com/upload/website/prouct_img/normal/GTX636634/GTX636634_T-44515_20211210_IHC-P_M_w_23061202_913.webp)





![Immunohistochemical analysis of paraffin-embedded zebrafish tissue, using RRM2 antibody [N1C1] (GTX103193) at 1:300 dilution.](https://www.genetex.com/upload/website/prouct_img/normal/GTX103193/GTX103193_40128_IHC_Z_22111423_284.webp)

