![Mouse tissue extract (50 μg) was separated by 5% SDS-PAGE, and the membrane was blotted with SETDB1 antibody [HL3259] (GTX640906) diluted at 1:1000. The HRP-conjugated anti-rabbit IgG antibody (GTX213110-01) was used to detect the primary antibody. Mouse tissue extract (50 μg) was separated by 5% SDS-PAGE, and the membrane was blotted with SETDB1 antibody [HL3259] (GTX640906) diluted at 1:1000. The HRP-conjugated anti-rabbit IgG antibody (GTX213110-01) was used to detect the primary antibody.](https://www.genetex.com/upload/website/prouct_img/normal/GTX640906/GTX640906_T-45523_20240913_WB_M_testis_24091901_114.webp)
Mouse tissue extract (50 μg) was separated by 5% SDS-PAGE, and the membrane was blotted with SETDB1 antibody [HL3259] (GTX640906) diluted at 1:1000. The HRP-conjugated anti-rabbit IgG antibody (GTX213110-01) was used to detect the primary antibody.
SETDB1 antibody [HL3259]
GTX640906
ApplicationsWestern Blot, ImmunoHistoChemistry, ImmunoHistoChemistry Paraffin
Product group Antibodies
ReactivityHuman, Mouse
TargetSETDB1
Overview
- SupplierGeneTex
- Product NameSETDB1 antibody [HL3259]
- Delivery Days Customer7
- Application Supplier NoteWB: 1:500-1:3000. *Optimal dilutions/concentrations should be determined by the researcher.Not tested in other applications.
- ApplicationsWestern Blot, ImmunoHistoChemistry, ImmunoHistoChemistry Paraffin
- CertificationResearch Use Only
- ClonalityMonoclonal
- Clone IDHL3259
- Concentration1 mg/ml
- ConjugateUnconjugated
- Gene ID9869
- Target nameSETDB1
- Target descriptionSET domain bifurcated histone lysine methyltransferase 1
- Target synonymsESET, H3-K9-HMTase4, KG1T, KMT1E, TDRD21, histone-lysine N-methyltransferase SETDB1, ERG-associated protein with a SET domain, ESET, SET domain bifurcated 1, histone H3-K9 methyltransferase 4, histone-lysine N-methyltransferase, H3lysine-9 specific 4, lysine N-methyltransferase 1E, tudor domain containing 21
- HostRabbit
- IsotypeIgG
- Protein IDQ15047
- Protein NameHistone-lysine N-methyltransferase SETDB1
- Scientific DescriptionThis gene encodes a histone methyltransferase which regulates histone methylation, gene silencing, and transcriptional repression. This gene has been identified as a target for treatment in Huntington Disease, given that gene silencing and transcription dysfunction likely play a role in the disease pathogenesis. Alternatively spliced transcript variants of this gene have been described.[provided by RefSeq, Jun 2011]
- ReactivityHuman, Mouse
- Storage Instruction-20°C or -80°C,2°C to 8°C
- UNSPSC12352203
![HeLa whole cell and nuclear extract (30 μg) were separated by 5% SDS-PAGE, and the membrane was blotted with SETDB1 antibody [HL3259] (GTX640906) diluted at 1:1000. The HRP-conjugated anti-rabbit IgG antibody (GTX213110-01) was used to detect the primary antibody. HeLa whole cell and nuclear extract (30 μg) were separated by 5% SDS-PAGE, and the membrane was blotted with SETDB1 antibody [HL3259] (GTX640906) diluted at 1:1000. The HRP-conjugated anti-rabbit IgG antibody (GTX213110-01) was used to detect the primary antibody.](https://www.genetex.com/upload/website/prouct_img/normal/GTX640906/GTX640906_T-45523_20240913_WB_Fraction_24091901_278.webp)
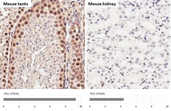
![SETDB1 antibody [HL3259] detects SETDB1 protein by immunohistochemical analysis. Sample: Paraffin-embedded mouse tissues. SETDB1 stained by SETDB1 antibody [HL3259] (GTX640906) diluted at 1:100. Antigen Retrieval: Citrate buffer, pH 6.0, 15 min Corresponding RNA expression data for the same tissues are based on NCBI. SETDB1 antibody [HL3259] detects SETDB1 protein by immunohistochemical analysis. Sample: Paraffin-embedded mouse tissues. SETDB1 stained by SETDB1 antibody [HL3259] (GTX640906) diluted at 1:100. Antigen Retrieval: Citrate buffer, pH 6.0, 15 min Corresponding RNA expression data for the same tissues are based on NCBI.](https://www.genetex.com/upload/website/prouct_img/normal/GTX640906/GTX640906_T-45523_20241004_IHC-P_Mutiple_M_24110700_761.webp)

![Whole cell extract (30 μg) was separated by 5% SDS-PAGE, and the membrane was blotted with SETDB1 antibody [N1], N-term (GTX115305) diluted at 1:2000. The HRP-conjugated anti-rabbit IgG antibody (GTX213110-01) was used to detect the primary antibody.](https://www.genetex.com/upload/website/prouct_img/normal/GTX115305/GTX115305_40604_20230224_WB_23030219_547.webp)
![SETDB1 antibody [N2C1], Internal immunoprecipitates SETDB1 protein in IP experiments. IP samples: HeLa nuclear extract A. Control with 4 μg of preimmune Rabbit IgG B. Immunoprecipitation of SETDB1 protein by 4 μg SETDB1 antibody [N2C1], Internal (GTX110219) 5 % SDS-PAGE The immunoprecipitated SETDB1 protein was detected by SETDB1 antibody [N2C1], Internal (GTX110219) diluted at 1:1000. [EasyBlot anti-rabbit IgG (GTX221666-01) was used as a secondary reagent]](https://www.genetex.com/upload/website/prouct_img/normal/GTX110219/GTX110219_40471_IP_w_23060500_420.webp)
![Various tissue extracts (50 Aμg) were separated by 5% SDS-PAGE, and the membrane was blotted with SETDB1 antibody [HL1645] (GTX637226) diluted at 1:5000. The HRP-conjugated anti-rabbit IgG antibody (GTX213110-01) was used to detect the primary antibody.](https://www.genetex.com/upload/website/prouct_img/normal/GTX637226/GTX637226_T-44746_20220805_WB_M_R_22080923_527.webp)


