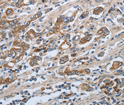
Immunohistochemistry of paraffin-embedded Human gasrtic cancer tissue using SLC34A2 Polyclonal Antibody at dilution of 1:50
SLC34A2 Polyclonal Antibody
E-AB-15851
Product group Antibodies
Overview
- SupplierElabscience
- Product NameSLC34A2 Polyclonal Antibody
- Delivery Days Customer12
- Applications SupplierELISA IHC
- CertificationResearch Use Only
- Concentration0.6mg/ml
- Scientific DescriptionThe protein encoded by this gene is a pH-sensitive sodium-dependent phosphate transporter. Phosphate uptake is increased at lower pH. Defects in this gene are a cause of pulmonary alveolar microlithiasis. Three transcript variants encoding two different isoforms have been found for this gene.
- UNSPSC12352203





