![Various whole cell extracts (30 μg) were separated by 5% SDS-PAGE, and the membrane was blotted with SMARCC1 antibody [C2C3], C-term (GTX114777) diluted at 1:2000. The HRP-conjugated anti-rabbit IgG antibody (GTX213110-01) was used to detect the primary antibody. Various whole cell extracts (30 μg) were separated by 5% SDS-PAGE, and the membrane was blotted with SMARCC1 antibody [C2C3], C-term (GTX114777) diluted at 1:2000. The HRP-conjugated anti-rabbit IgG antibody (GTX213110-01) was used to detect the primary antibody.](https://www.genetex.com/upload/website/prouct_img/normal/GTX114777/GTX114777_43775_20191206_WB_23041723_807.webp)
Various whole cell extracts (30 μg) were separated by 5% SDS-PAGE, and the membrane was blotted with SMARCC1 antibody [C2C3], C-term (GTX114777) diluted at 1:2000. The HRP-conjugated anti-rabbit IgG antibody (GTX213110-01) was used to detect the primary antibody.
SMARCC1 antibody [C2C3], C-term
GTX114777
ApplicationsImmunoFluorescence, ImmunoPrecipitation, Western Blot, ChIP Chromatin ImmunoPrecipitation, ImmunoCytoChemistry, ImmunoHistoChemistry, ImmunoHistoChemistry Paraffin
Product group Antibodies
ReactivityHuman, Mouse, Rat
TargetSMARCC1
Overview
- SupplierGeneTex
- Product NameSMARCC1 antibody [C2C3], C-term
- Delivery Days Customer9
- Application Supplier NoteWB: 1:500-1:20000. ICC/IF: 1:100-1:1000. IHC-P: 1:100-1:1000. IP: 1:100-1:500. *Optimal dilutions/concentrations should be determined by the researcher.Not tested in other applications.
- ApplicationsImmunoFluorescence, ImmunoPrecipitation, Western Blot, ChIP Chromatin ImmunoPrecipitation, ImmunoCytoChemistry, ImmunoHistoChemistry, ImmunoHistoChemistry Paraffin
- CertificationResearch Use Only
- ClonalityPolyclonal
- Concentration0.77 mg/ml
- ConjugateUnconjugated
- Gene ID6599
- Target nameSMARCC1
- Target descriptionSWI/SNF related BAF chromatin remodeling complex subunit C1
- Target synonymsBAF155, CRACC1, HYC5, Rsc8, SRG3, SWI3, SWI/SNF complex subunit SMARCC1, BRG1-associated factor 155, SWI/SNF complex 155 kDa subunit, SWI/SNF related, matrix associated, actin dependent regulator of chromatin subfamily c member 1, SWI/SNF-related matrix-associated actin-dependent regulator of chromatin subfamily C member 1, chromatin remodeling complex BAF155 subunit, mammalian chromatin remodeling complex BRG1-associated factor 155
- HostRabbit
- IsotypeIgG
- Protein IDQ92922
- Protein NameSWI/SNF complex subunit SMARCC1
- Scientific DescriptionThe protein encoded by this gene is a member of the SWI/SNF family of proteins, whose members display helicase and ATPase activities and which are thought to regulate transcription of certain genes by altering the chromatin structure around those genes. The encoded protein is part of the large ATP-dependent chromatin remodeling complex SNF/SWI and contains a predicted leucine zipper motif typical of many transcription factors. [provided by RefSeq]
- ReactivityHuman, Mouse, Rat
- Storage Instruction-20°C or -80°C,2°C to 8°C
- UNSPSC12352203
References
- Cai X, Zhou J, Deng J, et al. Prognostic biomarker SMARCC1 and its association with immune infiltrates in hepatocellular carcinoma. Cancer Cell Int. 2021,21(1):701. doi: 10.1186/s12935-021-02413-wRead this paper
- Li HJ, Yu PN, Huang KY, et al. NKX6.1 functions as a metastatic suppressor through epigenetic regulation of the epithelial-mesenchymal transition. Oncogene. 2016,35(17):2266-78. doi: 10.1038/onc.2015.289Read this paper
![Wild-type (WT) and SMARCC1 knockout (KO) HeLa cell extracts (30 μg) were separated by 5% SDS-PAGE, and the membrane was blotted with SMARCC1 antibody [C2C3], C-term (GTX114777) diluted at 1:4000. The HRP-conjugated anti-rabbit IgG antibody (GTX213110-01) was used to detect the primary antibody. Wild-type (WT) and SMARCC1 knockout (KO) HeLa cell extracts (30 μg) were separated by 5% SDS-PAGE, and the membrane was blotted with SMARCC1 antibody [C2C3], C-term (GTX114777) diluted at 1:4000. The HRP-conjugated anti-rabbit IgG antibody (GTX213110-01) was used to detect the primary antibody.](https://www.genetex.com/upload/website/prouct_img/normal/GTX114777/GTX114777_43775_20191220_WB_KO_watermark_23041723_145.webp)

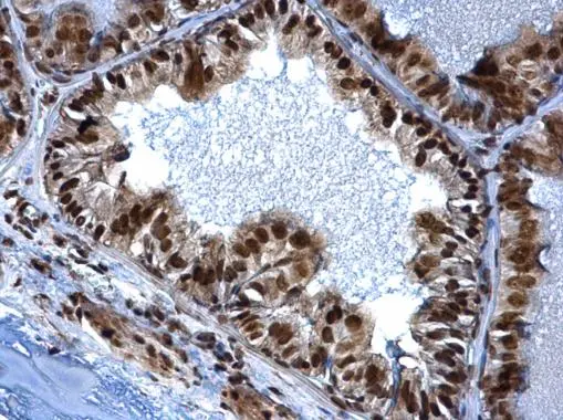
![SMARCC1 antibody [C2C3], C-term detects SMARCC1 protein at nucleus on mouse duodenum by immunohistochemical analysis. Sample: Paraffin-embedded mouse duodenum. SMARCC1 antibody [C2C3], C-term (GTX114777) dilution: 1:500.
Antigen Retrieval: Trilogy? (EDTA based, pH 8.0) buffer, 15min SMARCC1 antibody [C2C3], C-term detects SMARCC1 protein at nucleus on mouse duodenum by immunohistochemical analysis. Sample: Paraffin-embedded mouse duodenum. SMARCC1 antibody [C2C3], C-term (GTX114777) dilution: 1:500.
Antigen Retrieval: Trilogy? (EDTA based, pH 8.0) buffer, 15min](https://www.genetex.com/upload/website/prouct_img/normal/GTX114777/GTX114777_41332_IHC_M_w_23060518_336.webp)

![Various whole cell extracts (30 μg) were separated by 5% SDS-PAGE, and the membrane was blotted with SMARCC1 antibody [C2C3], C-term (GTX114777) diluted at 1:1000. The HRP-conjugated anti-rabbit IgG antibody (GTX213110-01) was used to detect the primary antibody. Various whole cell extracts (30 μg) were separated by 5% SDS-PAGE, and the membrane was blotted with SMARCC1 antibody [C2C3], C-term (GTX114777) diluted at 1:1000. The HRP-conjugated anti-rabbit IgG antibody (GTX213110-01) was used to detect the primary antibody.](https://www.genetex.com/upload/website/prouct_img/normal/GTX114777/GTX114777_40667_20160421_WB_M_w_23060518_300.webp)
![SMARCC1 antibody [C2C3], C-term detects SMARCC1 protein at nucleus by immunofluorescent analysis. Sample: HeLa cells were fixed in 4% paraformaldehyde at RT for 15 min. Green: SMARCC1 stained by SMARCC1 antibody [C2C3], C-term (GTX114777) diluted at 1:500. Red: phalloidin, a cytoskeleton marker, diluted at 1:200. Scale bar= 10 μm. SMARCC1 antibody [C2C3], C-term detects SMARCC1 protein at nucleus by immunofluorescent analysis. Sample: HeLa cells were fixed in 4% paraformaldehyde at RT for 15 min. Green: SMARCC1 stained by SMARCC1 antibody [C2C3], C-term (GTX114777) diluted at 1:500. Red: phalloidin, a cytoskeleton marker, diluted at 1:200. Scale bar= 10 μm.](https://www.genetex.com/upload/website/prouct_img/normal/GTX114777/GTX114777_43607_20200205_ICC_IF_w_23060518_244.webp)
![SMARCC1 antibody [C2C3], C-term detects SMARCC1 protein at nucleus on rat hind brain by immunohistochemical analysis. Sample: Paraffin-embedded rat hind brain. SMARCC1 antibody [C2C3], C-term (GTX114777) dilution: 1:500.
Antigen Retrieval: Trilogy? (EDTA based, pH 8.0) buffer, 15min SMARCC1 antibody [C2C3], C-term detects SMARCC1 protein at nucleus on rat hind brain by immunohistochemical analysis. Sample: Paraffin-embedded rat hind brain. SMARCC1 antibody [C2C3], C-term (GTX114777) dilution: 1:500.
Antigen Retrieval: Trilogy? (EDTA based, pH 8.0) buffer, 15min](https://www.genetex.com/upload/website/prouct_img/normal/GTX114777/GTX114777_41332_IHC_R_w_23060518_381.webp)

![SMARCC1 antibody [C2C3], C-term detects SMARCC1 protein at nucleus on mouse prostate by immunohistochemical analysis. Sample: Paraffin-embedded mouse prostate. SMARCC1 antibody [C2C3], C-term (GTX114777) dilution: 1:500.
Antigen Retrieval: Trilogy? (EDTA based, pH 8.0) buffer, 15min SMARCC1 antibody [C2C3], C-term detects SMARCC1 protein at nucleus on mouse prostate by immunohistochemical analysis. Sample: Paraffin-embedded mouse prostate. SMARCC1 antibody [C2C3], C-term (GTX114777) dilution: 1:500.
Antigen Retrieval: Trilogy? (EDTA based, pH 8.0) buffer, 15min](https://www.genetex.com/upload/website/prouct_img/normal/GTX114777/GTX114777_41332_IHC_M_2_w_23060518_487.webp)





