
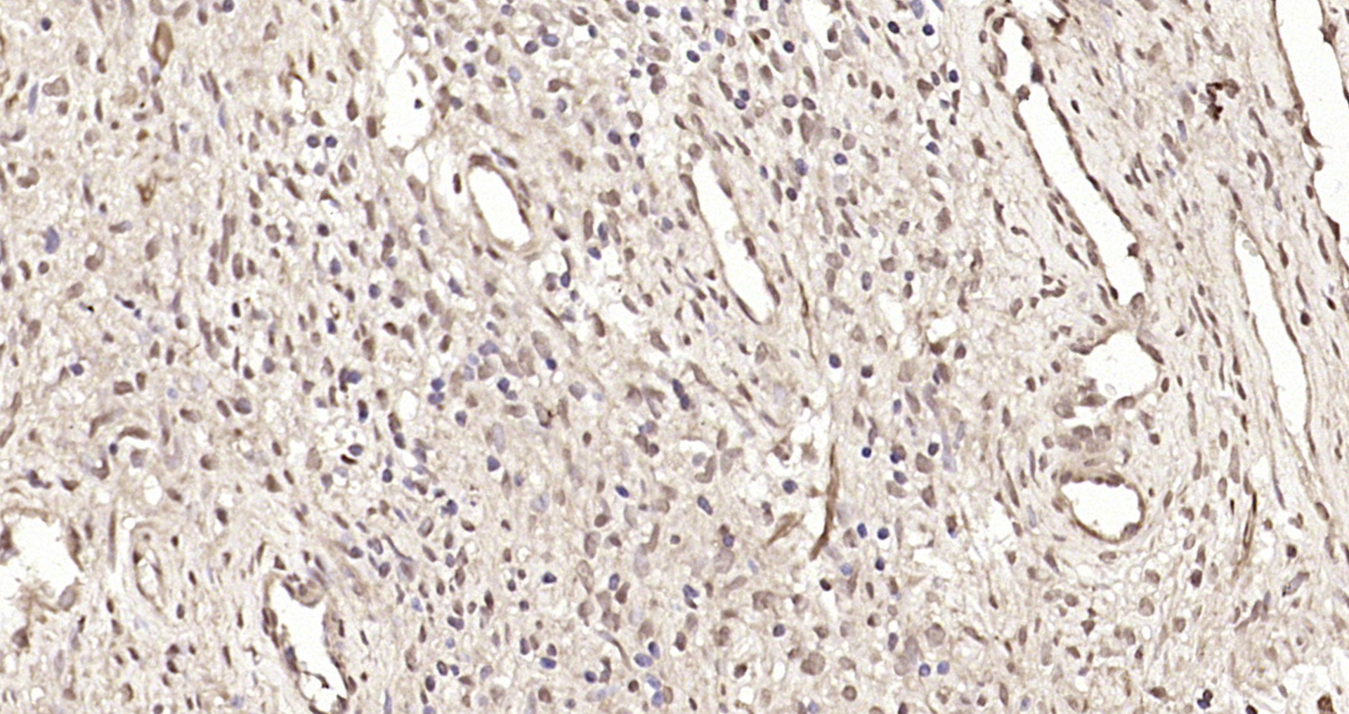
Paraformaldehyde-fixed, paraffin embedded Rat brain; Antigen retrieval by boiling in sodium citrate buffer (pH6.0) for 15min; Block endogenous peroxidase by 3% hydrogen peroxide for 20 minutes; Blocking buffer (normal goat serum) at 37°C for 30min; Antibody incubation with SMC5 Polyclonal Antibody, Unconjugated (bs-7729R) at 1:200 overnight at 4°C, DAB staining.
SMC5 Polyclonal Antibody
BS-7729R
ApplicationsImmunoFluorescence, Western Blot, ELISA, ImmunoCytoChemistry, ImmunoHistoChemistry, ImmunoHistoChemistry Frozen, ImmunoHistoChemistry Paraffin
Product group Antibodies
TargetSMC5
Overview
- SupplierBioss
 - Product NameSMC5 Polyclonal Antibody
 - Delivery Days Customer16
 - ApplicationsImmunoFluorescence, Western Blot, ELISA, ImmunoCytoChemistry, ImmunoHistoChemistry, ImmunoHistoChemistry Frozen, ImmunoHistoChemistry Paraffin
 - Applications SupplierWB(1:300-5000), ELISA(1:500-1000), IHC-P(1:200-400), IHC-F(1:100-500), IF(IHC-P)(1:50-200), IF(IHC-F)(1:50-200), IF(ICC)(1:50-200)
 - CertificationResearch Use Only
 - ClonalityPolyclonal
 - Concentration1 ug/ul
 - ConjugateUnconjugated
 - Gene ID23137
 - Target nameSMC5
 - Target descriptionstructural maintenance of chromosomes 5
 - Target synonymsATELS2, SMC5L1, structural maintenance of chromosomes protein 5, SMC protein 5, SMC-5, SMC5 structural maintenance of chromosomes 5-like 1, hSMC5
 - HostRabbit
 - IsotypeIgG
 - Storage Instruction-20°C
 - UNSPSC12352203
 






