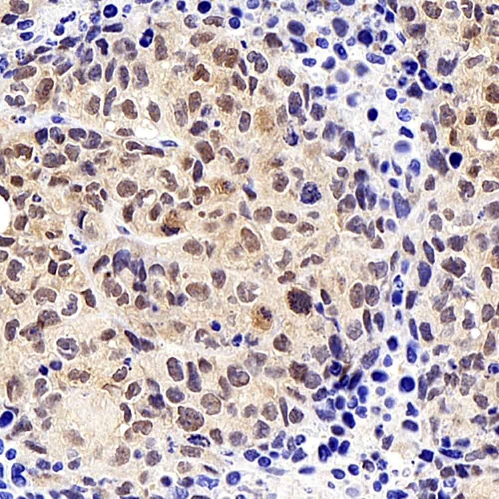
Immunohistochemistry analysis of paraffin-embedded mice tumor with hela using SOX-2 Polyclonal Antibody at dilution of 1:300.
SOX-2 Polyclonal Antibody
E-AB-70108
Product group Antibodies
Overview
- SupplierElabscience
- Product NameSOX-2 Polyclonal Antibody
- Delivery Days Customer12
- CertificationResearch Use Only
- Scientific DescriptionSox2,also known as SRY (sex determining region Y)-box 2,is a transcription factor essential for maintaining self-renewal of undifferentiated ES cells and is one of the key transcription factors used to reprogram mouse and human fibroblasts to a pluripotent state. Sox2 expressed in undifferentiated pluripotent stem cells and germ cells during development.
- UNSPSC12352203




