
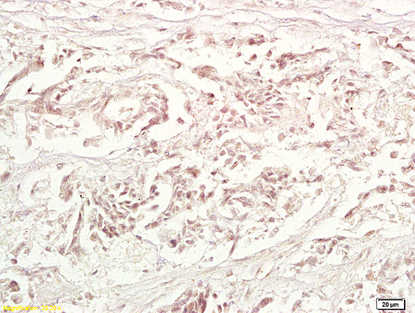
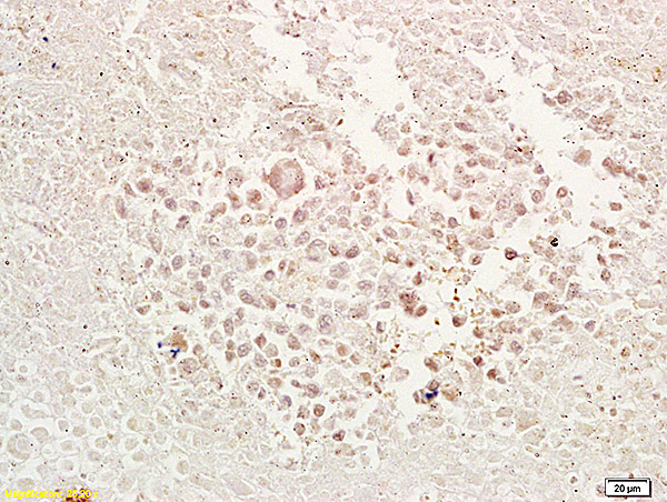
Paraformaldehyde-fixed, paraffin embedded rat stomach; Antigen retrieval by boiling in sodium citrate buffer (pH6.0) for 15min; Block endogenous peroxidase by 3% hydrogen peroxide for 20 minutes; Blocking buffer (normal goat serum) at 37°C for 30min; Antibody incubation with TRAF1 Polyclonal Antibody, Unconjugated (bs-1212R) at 1:400 overnight at 4°C, followed by a conjugated secondary for 20 minutes and DAB staining
TRAF1 Polyclonal Antibody
BS-1212R
ApplicationsImmunoFluorescence, ELISA, ImmunoCytoChemistry, ImmunoHistoChemistry, ImmunoHistoChemistry Frozen, ImmunoHistoChemistry Paraffin
Product group Antibodies
ReactivityBovine, Canine, Equine, Human, Mouse, Rabbit, Rat
TargetTRAF1
Overview
- SupplierBioss
- Product NameTRAF1 Polyclonal Antibody
- Delivery Days Customer16
- ApplicationsImmunoFluorescence, ELISA, ImmunoCytoChemistry, ImmunoHistoChemistry, ImmunoHistoChemistry Frozen, ImmunoHistoChemistry Paraffin
- Applications SupplierELISA(1:500-1000), IHC-P(1:200-400), IHC-F(1:100-500), IF(IHC-P)(1:50-200), IF(IHC-F)(1:50-200), IF(ICC)(1:50-200)
- CertificationResearch Use Only
- ClonalityPolyclonal
- Concentration1 ug/ul
- ConjugateUnconjugated
- Gene ID7185
- Target nameTRAF1
- Target descriptionTNF receptor associated factor 1
- Target synonymsEBI6, MGC:10353, TNF receptor-associated factor 1, Epstein-Bar virus-induced protein 6
- HostRabbit
- IsotypeIgG
- Protein IDQ13077
- Protein NameTNF receptor-associated factor 1
- ReactivityBovine, Canine, Equine, Human, Mouse, Rabbit, Rat
- Storage Instruction-20°C
- UNSPSC12352203
References
- Wang F, Luo LD, Pan JH, et al. Comparative genomic study of gastric epithelial cells co-cultured with Helicobacter pylori. World J Gastroenterol. 2012,18(48):7212-24. doi: 10.3748/wjg.v18.i48.7212Read this paper








