
Immunofluorescence analysis of methanol-fixed A549, using Transglutaminase 2(GTX111701) antibody at 1:500 dilution.
Transglutaminase 2 antibody [N1N3]
GTX111701
ApplicationsImmunoFluorescence, Western Blot, ImmunoCytoChemistry, ImmunoHistoChemistry, ImmunoHistoChemistry Paraffin
Product group Antibodies
ReactivityHuman, Mouse
TargetTGM2
Overview
- SupplierGeneTex
- Product NameTransglutaminase 2 antibody [N1N3]
- Delivery Days Customer9
- Application Supplier NoteWB: 1:500-1:3000. ICC/IF: 1:100-1:1000. IHC-P: 1:100-1:1000. *Optimal dilutions/concentrations should be determined by the researcher.Not tested in other applications.
- ApplicationsImmunoFluorescence, Western Blot, ImmunoCytoChemistry, ImmunoHistoChemistry, ImmunoHistoChemistry Paraffin
- CertificationResearch Use Only
- ClonalityPolyclonal
- Concentration1 mg/ml
- ConjugateUnconjugated
- Gene ID7052
- Target nameTGM2
- Target descriptiontransglutaminase 2
- Target synonymsG(h), TG(C), TGC, hTG2, tTG, protein-glutamine gamma-glutamyltransferase 2, C polypeptide, protein-glutamine-gamma-glutamyltransferase, TGase C, TGase H, TGase II, TGase-2, erythrocyte transglutaminase, heart G alpha(h), hhG alpha(h), isopeptidase TGM2, protein G alpha(h), protein-glutamine deamidase TGM2, protein-glutamine dopaminyltransferase TGM2, protein-glutamine histaminyltransferase TGM2, protein-glutamine noradrenalinyltransferase TGM2, protein-glutamine serotonyltransferase TGM2, tTgase, tissue transglutaminase, transglutaminase C, transglutaminase H, transglutaminase II
- HostRabbit
- IsotypeIgG
- Protein IDP21980
- Protein NameProtein-glutamine gamma-glutamyltransferase 2
- Scientific DescriptionTransglutaminases are enzymes that catalyze the crosslinking of proteins by epsilon-gamma glutamyl lysine isopeptide bonds. While the primary structure of transglutaminases is not conserved, they all have the same amino acid sequence at their active sites and their activity is calcium-dependent. The protein encoded by this gene acts as a monomer, is induced by retinoic acid, and appears to be involved in apoptosis. Finally, the encoded protein is the autoantigen implicated in celiac disease. Two transcript variants encoding different isoforms have been found for this gene. [provided by RefSeq]
- ReactivityHuman, Mouse
- Storage Instruction-20°C or -80°C,2°C to 8°C
- UNSPSC12352203

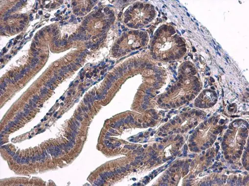
![Transglutaminase 2 antibody [N1N3] detects Transglutaminase 2 protein at cytoplasm in mouse duodenum by immunohistochemical analysis. Sample: Paraffin-embedded mouse duodenum. Transglutaminase 2 antibody [N1N3] (GTX111701) diluted at 1:500.
Antigen Retrieval: Citrate buffer, pH 6.0, 15 min Transglutaminase 2 antibody [N1N3] detects Transglutaminase 2 protein at cytoplasm in mouse duodenum by immunohistochemical analysis. Sample: Paraffin-embedded mouse duodenum. Transglutaminase 2 antibody [N1N3] (GTX111701) diluted at 1:500.
Antigen Retrieval: Citrate buffer, pH 6.0, 15 min](https://www.genetex.com/upload/website/prouct_img/normal/GTX111701/GTX111701_40366_20150717_IHC-P_M_w_23060500_299.webp)

![Various whole cell extracts (30 μg) were separated by 7.5% SDS-PAGE, and the membrane was blotted with Transglutaminase 2 antibody [N1N3] (GTX111701) diluted at 1:2000. The HRP-conjugated anti-rabbit IgG antibody (GTX213110-01) was used to detect the primary antibody. Various whole cell extracts (30 μg) were separated by 7.5% SDS-PAGE, and the membrane was blotted with Transglutaminase 2 antibody [N1N3] (GTX111701) diluted at 1:2000. The HRP-conjugated anti-rabbit IgG antibody (GTX213110-01) was used to detect the primary antibody.](https://www.genetex.com/upload/website/prouct_img/normal/GTX111701/GTX111701_40366_20240202_WB_24021917_569.webp)


![Various whole cell extracts (30 μg) were separated by 7.5% SDS-PAGE, and the membrane was blotted with Transglutaminase 2 antibody [N3C3] (GTX111702) diluted at 1:1000. The HRP-conjugated anti-rabbit IgG antibody (GTX213110-01) was used to detect the primary antibody.](https://www.genetex.com/upload/website/prouct_img/normal/GTX111702/GTX111702_44524_20211210_WB_22100302_954.webp)


