
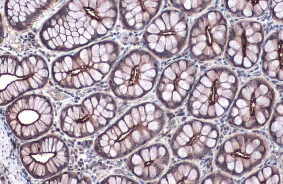
Villin antibody detects VIL1 protein at cell membrane by immunohistochemical analysis. Sample: Paraffin-embedded dog intestine. VIL1 stained by Villin antibody (GTX109940) diluted at 1:500. Antigen Retrieval: Citrate buffer, pH 6.0, 15 min
Villin antibody
GTX109940
ApplicationsImmunoFluorescence, Western Blot, ImmunoCytoChemistry, ImmunoHistoChemistry, ImmunoHistoChemistry Frozen, ImmunoHistoChemistry Paraffin
Product group Antibodies
ReactivityCanine, Feline, Human, Mouse, Rat
TargetVIL1
Overview
- SupplierGeneTex
- Product NameVillin antibody
- Delivery Days Customer9
- Application Supplier NoteWB: 1:500-1:10000. ICC/IF: 1:100-1:1000. IHC-P: 1:100-1:1000. *Optimal dilutions/concentrations should be determined by the researcher.Not tested in other applications.
- ApplicationsImmunoFluorescence, Western Blot, ImmunoCytoChemistry, ImmunoHistoChemistry, ImmunoHistoChemistry Frozen, ImmunoHistoChemistry Paraffin
- CertificationResearch Use Only
- ClonalityPolyclonal
- Concentration0.85 mg/ml
- ConjugateUnconjugated
- Gene ID7429
- Target nameVIL1
- Target descriptionvillin 1
- Target synonymsD2S1471, VIL, villin-1
- HostRabbit
- IsotypeIgG
- Protein IDP09327
- Protein NameVillin-1
- Scientific DescriptionThis gene encodes a member of a family of calcium-regulated actin-binding proteins. This protein represents a dominant part of the brush border cytoskeleton which functions in the capping, severing, and bundling of actin filaments. Two mRNAs of 2.7 kb and 3.5 kb have been observed; they result from utilization of alternate poly-adenylation signals present in the terminal exon. [provided by RefSeq]
- ReactivityCanine, Feline, Human, Mouse, Rat
- Storage Instruction-20°C or -80°C,2°C to 8°C
- UNSPSC41116161
















![Whole cell extract (30 μg) was separated by 7.5% SDS-PAGE, and the membrane was blotted with Villin antibody [HL1756] (GTX637406) diluted at 1:5000. The HRP-conjugated anti-rabbit IgG antibody (GTX213110-01) was used to detect the primary antibody.](https://www.genetex.com/upload/website/prouct_img/normal/GTX637406/GTX637406_44956_20230224_WB_23030219_826.webp)
![Non-transfected (–) and transfected (+) 293T whole cell extracts were separated by 7.5% SDS-PAGE, and the membrane was blotted with Villin antibody [HL1830] (GTX637555) diluted at 1:5000. The HRP-conjugated anti-rabbit IgG antibody (GTX213110-01) was used to detect the primary antibody.](https://www.genetex.com/upload/website/prouct_img/normal/GTX637555/GTX637555_T-44823_20230210_WB_multiple_B_23021401_696.webp)