
Visfatin antibody detects Visfatin protein by western blot analysis. A. 30 μg Jurkat whole cell lysate/extract B. 30 μg Raji whole cell lysate/extract C. 30 μg K562 whole cell lysate/extract D. 30 μg NCI-H929 whole cell lysate/extract 7.5 % SDS-PAGE Visfatin antibody (GTX117444) dilution: 1:1000
Visfatin antibody [N1N3]
GTX117444
ApplicationsWestern Blot, ImmunoHistoChemistry, ImmunoHistoChemistry Paraffin
Product group Antibodies
ReactivityHuman, Rat
TargetNAMPT
Overview
- SupplierGeneTex
- Product NameVisfatin antibody [N1N3]
- Delivery Days Customer9
- Application Supplier NoteWB: 1:500-1:3000. IHC-P: 1:100-1:1000. *Optimal dilutions/concentrations should be determined by the researcher.Not tested in other applications.
- ApplicationsWestern Blot, ImmunoHistoChemistry, ImmunoHistoChemistry Paraffin
- CertificationResearch Use Only
- ClonalityPolyclonal
- Concentration1 mg/ml
- ConjugateUnconjugated
- Gene ID10135
- Target nameNAMPT
- Target descriptionnicotinamide phosphoribosyltransferase
- Target synonyms1110035O14Rik, PBEF, PBEF1, VF, VISFATIN, nicotinamide phosphoribosyltransferase, NAmPRTase, pre-B cell-enhancing factor, pre-B-cell colony-enhancing factor 1
- HostRabbit
- IsotypeIgG
- Protein IDP43490
- Protein NameNicotinamide phosphoribosyltransferase
- Scientific DescriptionThis gene encodes a protein that catalyzes the condensation of nicotinamide with 5-phosphoribosyl-1-pyrophosphate to yield nicotinamide mononucleotide, one step in the biosynthesis of nicotinamide adenine dinucleotide. The protein is an adipokine that is localized to the bloodstream and has various functions, including the promotion of vascular smooth muscle cell maturation and inhibition of neutrophil apoptosis. It also activates insulin receptor and has insulin-mimetic effects, lowering blood glucose and improving insulin sensitivity. The protein is highly expressed in visceral fat and serum levels of the protein correlate with obesity. This gene has a pseudogene on chromosome 10. [provided by RefSeq]
- ReactivityHuman, Rat
- Storage Instruction-20°C or -80°C,2°C to 8°C
- UNSPSC41116161


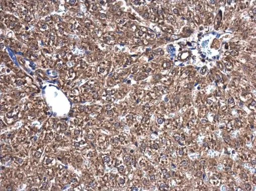
![Visfatin antibody [N1N3] detects Visfatin protein at cytoplasm in rat liver by immunohistochemical analysis. Sample: Paraffin-embedded rat liver. Visfatin antibody [N1N3] (GTX117444) diluted at 1:500.
Antigen Retrieval: Citrate buffer, pH 6.0, 15 min Visfatin antibody [N1N3] detects Visfatin protein at cytoplasm in rat liver by immunohistochemical analysis. Sample: Paraffin-embedded rat liver. Visfatin antibody [N1N3] (GTX117444) diluted at 1:500.
Antigen Retrieval: Citrate buffer, pH 6.0, 15 min](https://www.genetex.com/upload/website/prouct_img/normal/GTX117444/GTX117444_40478_20160816_IHC-P_R_w_23060519_599.webp)






![WB analysis of His tagged truncated Visfatin recombinant protein (1) and full-length GFP- Visfatin (aa1-491) transfected COS7 cell lysate (2) using GTX83046 Visfatin antibody [1D3A12].](https://www.genetex.com/upload/website/prouct_img/normal/GTX83046/GTX83046_20170912_WB_w_23061322_904.webp)

