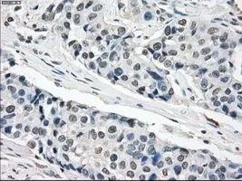
![IHC-P analysis of endometrium adenocarcinoma tissue using GTX83406 XRCC4 antibody [4H9]. Antigen retrieval : Heat-induced epitope retrieval by 10mM citrate buffer, pH6.0, 100oC for 10min. Dilution : 1:50 IHC-P analysis of endometrium adenocarcinoma tissue using GTX83406 XRCC4 antibody [4H9]. Antigen retrieval : Heat-induced epitope retrieval by 10mM citrate buffer, pH6.0, 100oC for 10min. Dilution : 1:50](https://www.genetex.com/upload/website/prouct_img/normal/GTX83406/GTX83406_1331_IHC-P_w_23061322_570.webp)
IHC-P analysis of endometrium adenocarcinoma tissue using GTX83406 XRCC4 antibody [4H9]. Antigen retrieval : Heat-induced epitope retrieval by 10mM citrate buffer, pH6.0, 100oC for 10min. Dilution : 1:50
XRCC4 antibody [4H9]
GTX83406
ApplicationsWestern Blot, ImmunoHistoChemistry, ImmunoHistoChemistry Paraffin
Product group Antibodies
ReactivityHuman
TargetXRCC4
Overview
- SupplierGeneTex
- Product NameXRCC4 antibody [4H9]
- Delivery Days Customer9
- Application Supplier NoteWB: 1:2000. IHC-P: 1:50. *Optimal dilutions/concentrations should be determined by the researcher.Not tested in other applications.
- ApplicationsWestern Blot, ImmunoHistoChemistry, ImmunoHistoChemistry Paraffin
- CertificationResearch Use Only
- ClonalityMonoclonal
- Clone ID4H9
- Concentration1 mg/ml
- ConjugateUnconjugated
- Gene ID7518
- Target nameXRCC4
- Target descriptionX-ray repair cross complementing 4
- Target synonymsSSMED, hXRCC4, DNA repair protein XRCC4, X-ray repair complementing defective repair in Chinese hamster cells 4
- HostMouse
- IsotypeIgG1
- Protein IDQ13426
- Protein NameDNA repair protein XRCC4
- Scientific DescriptionInvolved in DNA non-homologous end joining (NHEJ) required for double-strand break repair and V(D)J recombination. Binds to DNA and to DNA ligase IV (LIG4). The LIG4-XRCC4 complex is responsible for the NHEJ ligation step, and XRCC4 enhances the joining activity of LIG4. Binding of the LIG4-XRCC4 complex to DNA ends is dependent on the assembly of the DNA-dependent protein kinase complex DNA-PK to these DNA ends.
- ReactivityHuman
- Storage Instruction-20°C or -80°C,2°C to 8°C
- UNSPSC41116161
References
- PCAT-1, a long noncoding RNA, regulates BRCA2 and controls homologous recombination in cancer. Prensner JR et al., 2014 Mar 15, Cancer ResRead this paper
![IHC-P analysis of colon adenocarcinoma tissue using GTX83406 XRCC4 antibody [4H9]. Antigen retrieval : Heat-induced epitope retrieval by 10mM citrate buffer, pH6.0, 100oC for 10min. Dilution : 1:50 IHC-P analysis of colon adenocarcinoma tissue using GTX83406 XRCC4 antibody [4H9]. Antigen retrieval : Heat-induced epitope retrieval by 10mM citrate buffer, pH6.0, 100oC for 10min. Dilution : 1:50](https://www.genetex.com/upload/website/prouct_img/normal/GTX83406/GTX83406_1330_IHC-P_w_23061322_818.webp)
![IHC-P analysis of thyroid carcinoma tissue using GTX83406 XRCC4 antibody [4H9]. Antigen retrieval : Heat-induced epitope retrieval by 10mM citrate buffer, pH6.0, 100oC for 10min. Dilution : 1:50 IHC-P analysis of thyroid carcinoma tissue using GTX83406 XRCC4 antibody [4H9]. Antigen retrieval : Heat-induced epitope retrieval by 10mM citrate buffer, pH6.0, 100oC for 10min. Dilution : 1:50](https://www.genetex.com/upload/website/prouct_img/normal/GTX83406/GTX83406_1335_IHC-P_w_23061322_866.webp)
![IHC-P analysis of human ovary adenocarcinoma tissue using GTX83406 XRCC4 antibody [4H9]. Antigen retrieval : Heat-induced epitope retrieval by 10mM citrate buffer, pH6.0, 100oC for 10min. Dilution : 1:50 IHC-P analysis of human ovary adenocarcinoma tissue using GTX83406 XRCC4 antibody [4H9]. Antigen retrieval : Heat-induced epitope retrieval by 10mM citrate buffer, pH6.0, 100oC for 10min. Dilution : 1:50](https://www.genetex.com/upload/website/prouct_img/normal/GTX83406/GTX83406_1332_IHC-P_w_23061322_185.webp)
![WB analysis of HEK293T cells transfected with XRCC4 plasmid (Right) or empty vector (Left) for 48 hrs using GTX83406 XRCC4 antibody [4H9]. Loading : 5 ug per lane WB analysis of HEK293T cells transfected with XRCC4 plasmid (Right) or empty vector (Left) for 48 hrs using GTX83406 XRCC4 antibody [4H9]. Loading : 5 ug per lane](https://www.genetex.com/upload/website/prouct_img/normal/GTX83406/GTX83406_3609_WB_w_23061322_197.webp)
![IHC-P analysis of endometrium tissue using GTX83406 XRCC4 antibody [4H9]. Antigen retrieval : Heat-induced epitope retrieval by 10mM citrate buffer, pH6.0, 100oC for 10min. Dilution : 1:50 IHC-P analysis of endometrium tissue using GTX83406 XRCC4 antibody [4H9]. Antigen retrieval : Heat-induced epitope retrieval by 10mM citrate buffer, pH6.0, 100oC for 10min. Dilution : 1:50](https://www.genetex.com/upload/website/prouct_img/normal/GTX83406/GTX83406_1337_IHC-P_w_23061322_665.webp)
![IHC-P analysis of colon tissue using GTX83406 XRCC4 antibody [4H9]. Antigen retrieval : Heat-induced epitope retrieval by 10mM citrate buffer, pH6.0, 100oC for 10min. Dilution : 1:50 IHC-P analysis of colon tissue using GTX83406 XRCC4 antibody [4H9]. Antigen retrieval : Heat-induced epitope retrieval by 10mM citrate buffer, pH6.0, 100oC for 10min. Dilution : 1:50](https://www.genetex.com/upload/website/prouct_img/normal/GTX83406/GTX83406_1336_IHC-P_w_23061419_528.webp)
![IHC-P analysis of breast adenocarcinoma tissue using GTX83406 XRCC4 antibody [4H9]. Antigen retrieval : Heat-induced epitope retrieval by 10mM citrate buffer, pH6.0, 100oC for 10min. Dilution : 1:50 IHC-P analysis of breast adenocarcinoma tissue using GTX83406 XRCC4 antibody [4H9]. Antigen retrieval : Heat-induced epitope retrieval by 10mM citrate buffer, pH6.0, 100oC for 10min. Dilution : 1:50](https://www.genetex.com/upload/website/prouct_img/normal/GTX83406/GTX83406_1329_IHC-P_w_23061419_874.webp)
![IHC-P analysis of thyroid tissue using GTX83406 XRCC4 antibody [4H9]. Antigen retrieval : Heat-induced epitope retrieval by 10mM citrate buffer, pH6.0, 100oC for 10min. Dilution : 1:50 IHC-P analysis of thyroid tissue using GTX83406 XRCC4 antibody [4H9]. Antigen retrieval : Heat-induced epitope retrieval by 10mM citrate buffer, pH6.0, 100oC for 10min. Dilution : 1:50](https://www.genetex.com/upload/website/prouct_img/normal/GTX83406/GTX83406_1341_IHC-P_w_23061419_163.webp)
![IHC-P analysis of lung tissue using GTX83406 XRCC4 antibody [4H9]. Antigen retrieval : Heat-induced epitope retrieval by 10mM citrate buffer, pH6.0, 100oC for 10min. Dilution : 1:50 IHC-P analysis of lung tissue using GTX83406 XRCC4 antibody [4H9]. Antigen retrieval : Heat-induced epitope retrieval by 10mM citrate buffer, pH6.0, 100oC for 10min. Dilution : 1:50](https://www.genetex.com/upload/website/prouct_img/normal/GTX83406/GTX83406_1339_IHC-P_w_23061419_110.webp)







