
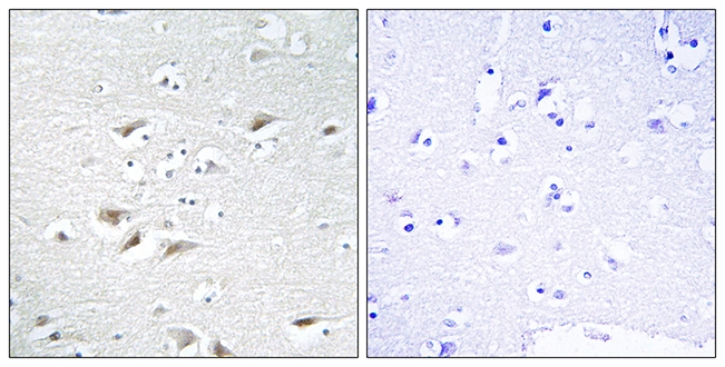
IHC-P analysis of human brain tissue using GTX87688 ZEB2 antibody. The picture on the right is blocked with the synthesized peptide.
ZEB2 antibody
GTX87688
ApplicationsWestern Blot, ImmunoHistoChemistry, ImmunoHistoChemistry Paraffin
Product group Antibodies
ReactivityHuman
TargetZEB2
Overview
- SupplierGeneTex
- Product NameZEB2 antibody
- Delivery Days Customer9
- Application Supplier NoteWB: 1:500~1:1000. IHC-P: 1:50~1:100. *Optimal dilutions/concentrations should be determined by the researcher.Not tested in other applications.
- ApplicationsWestern Blot, ImmunoHistoChemistry, ImmunoHistoChemistry Paraffin
- CertificationResearch Use Only
- ClonalityPolyclonal
- ConjugateUnconjugated
- Gene ID9839
- Target nameZEB2
- Target descriptionzinc finger E-box binding homeobox 2
- Target synonymsHSPC082, SIP-1, SIP1, SMADIP1, ZFHX1B, zinc finger E-box-binding homeobox 2, SMAD interacting protein 1, Smad-interacting protein 1, zinc finger homeobox 1b
- HostRabbit
- IsotypeIgG
- Protein IDO60315
- Protein NameZinc finger E-box-binding homeobox 2
- Scientific DescriptionThe protein encoded by this gene is a member of the Zfh1 family of 2-handed zinc finger/homeodomain proteins. It is located in the nucleus and functions as a DNA-binding transcriptional repressor that interacts with activated SMADs. Mutations in this gene are associated with Hirschsprung disease/Mowat-Wilson syndrome. Alternatively spliced transcript variants have been found for this gene.[provided by RefSeq, Jan 2010]
- ReactivityHuman
- Storage Instruction-20°C or -80°C,2°C to 8°C
- UNSPSC41116161







![IHC-P analysis of human kidney carcinoma tissue using GTX00672 ZEB2 antibody [OTI1E12]. Antigen retrieval : Heat induced epitope retrieval by 10mM citric buffer, pH6.0, 120oC for 3min](https://www.genetex.com/upload/website/prouct_img/normal/GTX00672/GTX00672_20190923_IHC-P_2_w_23053121_844.webp)

