
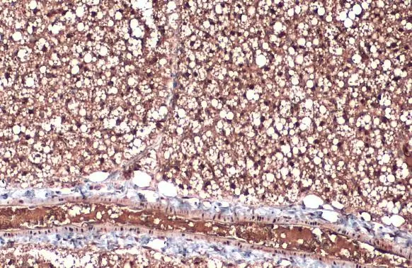
ZIC1 antibody detects ZIC1 protein at cytoplasm and nucleus by immunohistochemical analysis. Sample: Paraffin-embedded mouse brown adipocyte. ZIC1 stained by ZIC1 antibody (GTX129468) diluted at 1:500. Antigen Retrieval: Citrate buffer, pH 6.0, 15 min
ZIC1 antibody
GTX129468
ApplicationsWestern Blot, ImmunoHistoChemistry, ImmunoHistoChemistry Paraffin
Product group Antibodies
ReactivityHuman, Mouse
TargetZIC1
Overview
- SupplierGeneTex
- Product NameZIC1 antibody
- Delivery Days Customer9
- Application Supplier NoteWB: 1:500-1:3000. *Optimal dilutions/concentrations should be determined by the researcher.Not tested in other applications.
- ApplicationsWestern Blot, ImmunoHistoChemistry, ImmunoHistoChemistry Paraffin
- CertificationResearch Use Only
- ClonalityPolyclonal
- Concentration1 mg/ml
- ConjugateUnconjugated
- Gene ID7545
- Target nameZIC1
- Target descriptionZic family zinc finger 1
- Target synonymsBAIDCS, CRS6, ZIC, ZNF201, zinc finger protein ZIC 1, Zic family member 1 (odd-paired homolog, Drosophila), Zinc finger protein of the cerebellum 1, zinc finger protein 201
- HostRabbit
- IsotypeIgG
- Protein IDQ15915
- Protein NameZinc finger protein ZIC 1
- Scientific DescriptionThis gene encodes a member of the ZIC family of C2H2-type zinc finger proteins. Members of this family are important during development. Aberrant expression of this gene is seen in medulloblastoma, a childhood brain tumor. This gene is closely linked to the gene encoding zinc finger protein of the cerebellum 4, a related family member on chromosome 3. This gene encodes a transcription factor that can bind and transactivate the apolipoprotein E gene. [provided by RefSeq]
- ReactivityHuman, Mouse
- Storage Instruction-20°C or -80°C,2°C to 8°C
- UNSPSC41116161





