Activin Receptor Type IIB Antibody (YA2345, Rabbit)
HY-P82600
TargetACVR2B
Product group Antibodies
Overview
- SupplierMedChem Express
- Product NameActivin Receptor Type IIB Antibody (YA2345, Rabbit)
- Delivery Days Customer5
- CertificationResearch Use Only
- ClonalityMonoclonal
- Gene ID93
- Target nameACVR2B
- Target descriptionactivin A receptor type 2B
- Target synonymsACTRIIB, ActR-IIB, HTX4, activin receptor type-2B, activin A receptor, type IIB
- HostRabbit
- IsotypeIgG
- Scientific DescriptionActivin Receptor Type IIB Antibody (YA2345) is a non-conjugated IgG antibody, targeting Activin Receptor Type IIB, with a predicted molecular weight of 58 kDa (observed band size: 65 kDa). Activin Receptor Type IIB Antibody (YA2345) can be used for WB experiment in human, mouse, rat background.
- Storage Instruction-20°C
- UNSPSC41116161
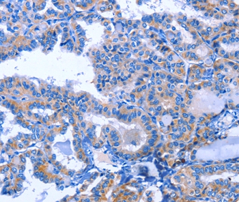
![Activin Receptor Type IIB antibody [N1C1] detects Activin Receptor Type IIB protein at cytoplasm by immunohistochemical analysis. Sample: Paraffin-embedded mouse placenta. Activin Receptor Type IIB stained by Activin Receptor Type IIB antibody [N1C1] (GTX105330) diluted at 1:500. Antigen Retrieval: Citrate buffer, pH 6.0, 15 min](https://www.genetex.com/upload/website/prouct_img/normal/GTX105330/GTX105330_43404_20190118_IHC-P_M_w_23060120_824.webp)





