
Anti-ACVR2B Antibody
A45381
ApplicationsImmunoHistoChemistry
Product group Antibodies
ReactivityHuman
Overview
- SupplierAntibodies.com
- Product NameAnti-ACVR2B Antibody
- Delivery Days Customer7
- ApplicationsImmunoHistoChemistry
- CertificationResearch Use Only
- ClonalityPolyclonal
- Concentration1.1 mg/ml
- ConjugateUnconjugated
- HostRabbit
- Scientific DescriptionRabbit polyclonal antibody to ACVR2B
- ReactivityHuman
- UNSPSC12352203

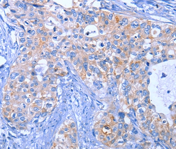
![Activin Receptor Type IIB antibody [N1C1] detects Activin Receptor Type IIB protein at cytoplasm by immunohistochemical analysis. Sample: Paraffin-embedded mouse placenta. Activin Receptor Type IIB stained by Activin Receptor Type IIB antibody [N1C1] (GTX105330) diluted at 1:500. Antigen Retrieval: Citrate buffer, pH 6.0, 15 min](https://www.genetex.com/upload/website/prouct_img/normal/GTX105330/GTX105330_43404_20190118_IHC-P_M_w_23060120_824.webp)




