![Various tissue extracts (50 μg) were separated by 10% SDS-PAGE, and the membrane was blotted with alpha Smooth Muscle Actin antibody [HL1419] (GTX636885) diluted at 1:10000. The HRP-conjugated anti-rabbit IgG antibody (GTX213110-01) was used to detect the primary antibody. Various tissue extracts (50 μg) were separated by 10% SDS-PAGE, and the membrane was blotted with alpha Smooth Muscle Actin antibody [HL1419] (GTX636885) diluted at 1:10000. The HRP-conjugated anti-rabbit IgG antibody (GTX213110-01) was used to detect the primary antibody.](https://www.genetex.com/upload/website/prouct_img/normal/GTX636885/GTX636885_44676_20220708_WB_M_tissue_22071401_508.webp)
Various tissue extracts (50 μg) were separated by 10% SDS-PAGE, and the membrane was blotted with alpha Smooth Muscle Actin antibody [HL1419] (GTX636885) diluted at 1:10000. The HRP-conjugated anti-rabbit IgG antibody (GTX213110-01) was used to detect the primary antibody.
alpha Smooth Muscle Actin antibody [HL1419]
GTX636885
ApplicationsWestern Blot, ImmunoHistoChemistry, ImmunoHistoChemistry Paraffin
Product group Antibodies
ReactivityHuman, Mouse, Rat
TargetACTA2
Overview
- SupplierGeneTex
- Product Namealpha Smooth Muscle Actin antibody [HL1419]
- Delivery Days Customer9
- Application Supplier NoteWB: 1:1000-1:10000. *Optimal dilutions/concentrations should be determined by the researcher.Not tested in other applications.
- ApplicationsWestern Blot, ImmunoHistoChemistry, ImmunoHistoChemistry Paraffin
- CertificationResearch Use Only
- ClonalityMonoclonal
- Clone IDHL1419
- Concentration1 mg/ml
- ConjugateUnconjugated
- Gene ID59
- Target nameACTA2
- Target descriptionactin alpha 2, smooth muscle
- Target synonymsACTSA, SMDYS, actin, aortic smooth muscle, actin, alpha 2, smooth muscle, aorta, alpha-cardiac actin, cell growth-inhibiting gene 46 protein
- HostRabbit
- IsotypeIgG
- Protein IDP62736
- Protein NameActin, aortic smooth muscle
- Scientific DescriptionThis gene encodes one of six different actin proteins. Actins are highly conserved proteins that are involved in cell motility, structure, integrity, and intercellular signaling. The encoded protein is a smooth muscle actin that is involved in vascular contractility and blood pressure homeostasis. Mutations in this gene cause a variety of vascular diseases, such as thoracic aortic disease, coronary artery disease, stroke, and Moyamoya disease, as well as multisystemic smooth muscle dysfunction syndrome. [provided by RefSeq, Sep 2017]
- ReactivityHuman, Mouse, Rat
- Storage Instruction-20°C or -80°C,2°C to 8°C
- UNSPSC12352203
![alpha Smooth Muscle Actin antibody [HL1419] detects alpha Smooth Muscle Actin protein by immunohistochemical analysis. Sample: Paraffin-embedded mouse tissues. alpha Smooth Muscle Actin stained by alpha Smooth Muscle Actin antibody [HL1419] (GTX636885) diluted at 1:100. Antigen Retrieval: Citrate buffer, pH 6.0, 15 min alpha Smooth Muscle Actin antibody [HL1419] detects alpha Smooth Muscle Actin protein by immunohistochemical analysis. Sample: Paraffin-embedded mouse tissues. alpha Smooth Muscle Actin stained by alpha Smooth Muscle Actin antibody [HL1419] (GTX636885) diluted at 1:100. Antigen Retrieval: Citrate buffer, pH 6.0, 15 min](https://www.genetex.com/upload/website/prouct_img/normal/GTX636885/GTX636885_44676_20221223_IHC-P_multiple_M_22122821_437.webp)
![alpha Smooth Muscle Actin antibody [HL1419] detects alpha Smooth Muscle Actin protein by immunohistochemical analysis. Sample: Paraffin-embedded rat tissues. alpha Smooth Muscle Actin stained by alpha Smooth Muscle Actin antibody [HL1419] (GTX636885) diluted at 1:100. Antigen Retrieval: Citrate buffer, pH 6.0, 15 min alpha Smooth Muscle Actin antibody [HL1419] detects alpha Smooth Muscle Actin protein by immunohistochemical analysis. Sample: Paraffin-embedded rat tissues. alpha Smooth Muscle Actin stained by alpha Smooth Muscle Actin antibody [HL1419] (GTX636885) diluted at 1:100. Antigen Retrieval: Citrate buffer, pH 6.0, 15 min](https://www.genetex.com/upload/website/prouct_img/normal/GTX636885/GTX636885_44676_20221223_IHC-P_multiple_R_22122821_203.webp)
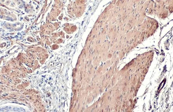
![alpha Smooth Muscle Actin antibody [HL1419] detects alpha Smooth Muscle Actin protein at cytoplasm by immunohistochemical analysis. Sample: Paraffin-embedded mouse smooth muscle. alpha Smooth Muscle Actin stained by alpha Smooth Muscle Actin antibody [HL1419] (GTX636885) diluted at 1:100. Antigen Retrieval: Citrate buffer, pH 6.0, 15 min alpha Smooth Muscle Actin antibody [HL1419] detects alpha Smooth Muscle Actin protein at cytoplasm by immunohistochemical analysis. Sample: Paraffin-embedded mouse smooth muscle. alpha Smooth Muscle Actin stained by alpha Smooth Muscle Actin antibody [HL1419] (GTX636885) diluted at 1:100. Antigen Retrieval: Citrate buffer, pH 6.0, 15 min](https://www.genetex.com/upload/website/prouct_img/normal/GTX636885/GTX636885_T-44627_20220415_IHC-P_M_w_23061202_341.webp)
![alpha Smooth Muscle Actin antibody [HL1419] detects alpha Smooth Muscle Actin protein by immunohistochemical analysis. Sample: Frozen-sectioned mouse duodenum. Green: alpha Smooth Muscle Actin stained by alpha Smooth Muscle Actin antibody [HL1419] (GTX636885) diluted at 1:250. Red: Vimentin antibody [GT812] (GTX629744) diluted at 1:1000. Blue: Hoechst 33342 staining. alpha Smooth Muscle Actin antibody [HL1419] detects alpha Smooth Muscle Actin protein by immunohistochemical analysis. Sample: Frozen-sectioned mouse duodenum. Green: alpha Smooth Muscle Actin stained by alpha Smooth Muscle Actin antibody [HL1419] (GTX636885) diluted at 1:250. Red: Vimentin antibody [GT812] (GTX629744) diluted at 1:1000. Blue: Hoechst 33342 staining.](https://www.genetex.com/upload/website/prouct_img/normal/GTX636885/GTX636885_45278_20250912_IHC-Fr_M_25091820_708.webp)




![ELISA analysis of antigen using GTX60393 alpha Smooth Muscle Actin antibody [1H8].
Red : Control antigen 100ng
Purple : Antigen 10ng
Green : Antigen 50ng
Blue : Antigen 100ng](https://www.genetex.com/upload/website/prouct_img/normal/GTX60393/GTX60393_20170912_ELISA_w_23061123_566.webp)
![IHC-P analysis of stomach cancer (left) and stomach tissue (right) using GTX60394 alpha Smooth Muscle Actin antibody [4F4].](https://www.genetex.com/upload/website/prouct_img/normal/GTX60394/GTX60394_20170912_IHC-P_1_w_23061123_427.webp)
![ICC/IF analysis of HepG2 cells using GTX60466 alpha Smooth Muscle Actin antibody [4A4]. Green : alpha Smooth Muscle Actin Blue: DRAQ5 fluorescent DNA dye Red: Actin filaments](https://www.genetex.com/upload/website/prouct_img/normal/GTX60466/GTX60466_20170912_ICCIF_w_23061123_884.webp)