
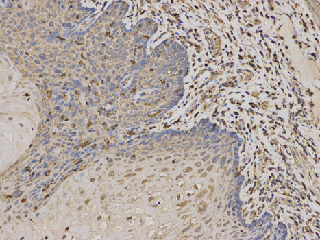
Anti-DCTN1 Antibody
A29838
ApplicationsWestern Blot, ImmunoHistoChemistry
Product group Antibodies
ReactivityHuman, Mouse, Rat
Overview
- SupplierAntibodies.com
- Product NameAnti-DCTN1 Antibody
- Delivery Days Customer7
- ApplicationsWestern Blot, ImmunoHistoChemistry
- CertificationResearch Use Only
- ClonalityPolyclonal
- ConjugateUnconjugated
- Estimated Purity>95%
- HostRabbit
- Scientific DescriptionRabbit polyclonal antibody to DCTN1
- ReactivityHuman, Mouse, Rat
- UNSPSC12352203





![Various whole cell extracts (30 μg) were separated by 5% SDS-PAGE, and the membrane was blotted with DCTN1 antibody [C3], C-term (GTX100231) diluted at 1:2500. The HRP-conjugated anti-rabbit IgG antibody (GTX213110-01) was used to detect the primary antibody.](https://www.genetex.com/upload/website/prouct_img/normal/GTX100231/GTX100231_40436_20171124_WB_2_w_23053123_476.webp)

